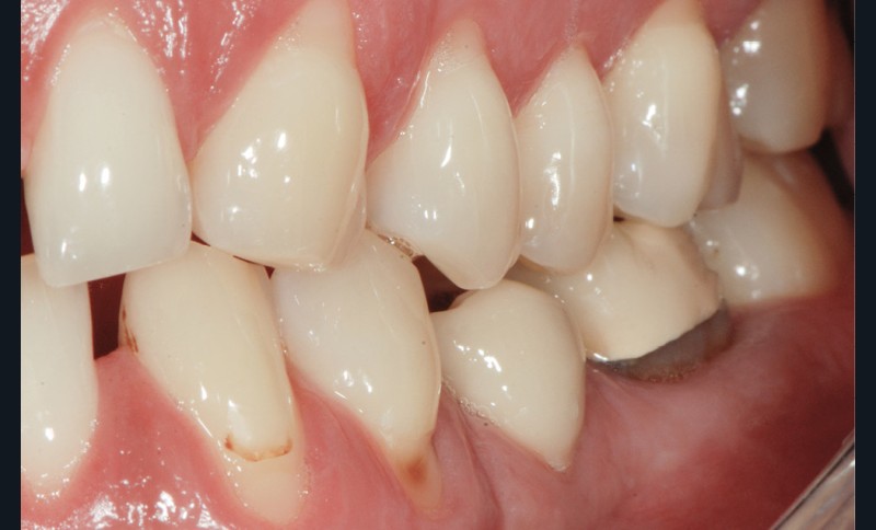
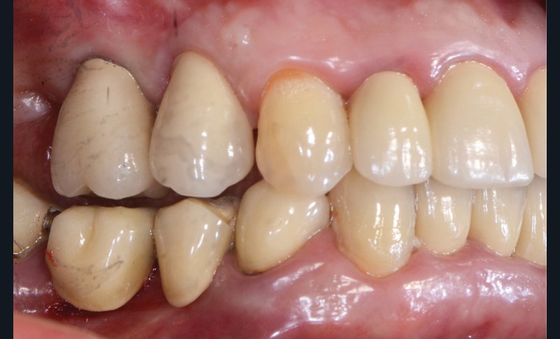
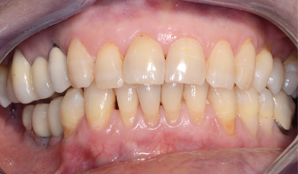
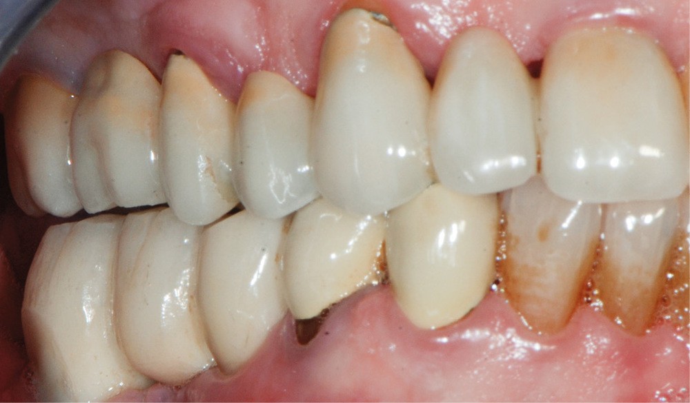
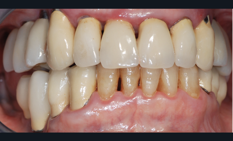
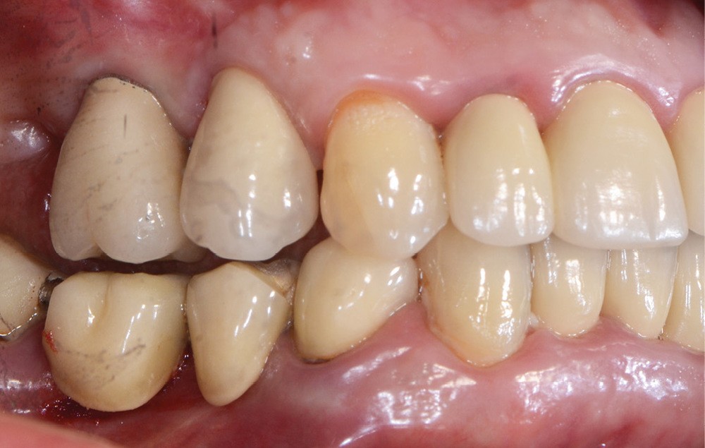
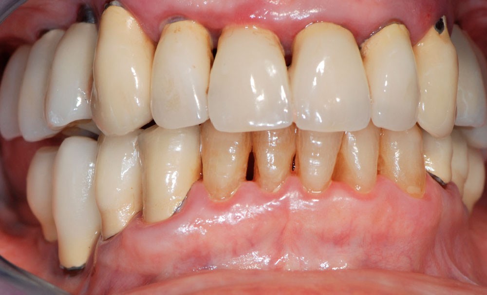
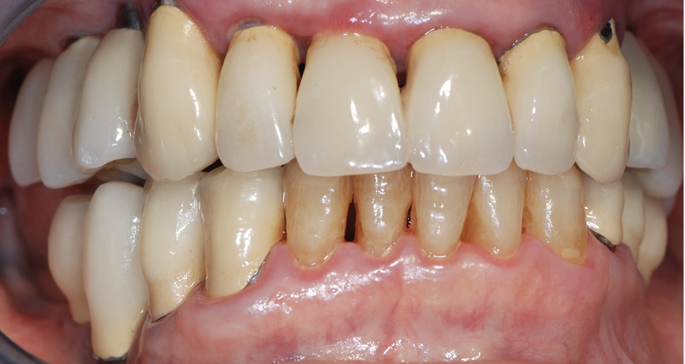
Dans notre pratique quotidienne, il est habituel de remarquer des prothèses sur implant(s), unitaires (fig. 1) ou de petite étendue (fig. 2), terminales (fig. 3, 4, 5) ou encastrées qui sont en sous-occlusion. Et il est tout aussi habituel de constater que cette façon de faire ne choque pas vraiment les patients, sauf parfois ceux qui s’interrogent sur la pertinence d’avoir une dent sur laquelle ils ne peuvent pas mâcher, ce qui, en y réfléchissant bien, est certainement contre-nature.
Comment en est-on arrivé à cette étrangeté ?
On le doit très probablement à Carl Misch et à son célèbre concept de serrement différentiel présenté au début des années 1990 [1]. Misch proposait alors d’équilibrer l’occlusion des prothèses implanto-fixées unitaires ou de petite étendue, selon trois étapes :
- premièrement, avant l’essayage de la prothèse : il est demandé au patient de claquer des dents pour tatouer, classiquement, les contacts occlusaux sur les dents naturelles avec un ruban marqueur. Misch conseille d’utiliser un papier de « moins de 25 µm d’épaisseur » [2] ;
- deuxièmement, après la mise en place de la prothèse : il est, de nouveau, demandé au patient de claquer des dents sur un ruban marqueur d’une autre couleur. L’opérateur doit retrouver les mêmes contacts occlusaux sur les dents naturelles. Ce qui suppose, à l’évidence, l’élimination d’une éventuelle surocclusion prothétique, mais surtout, à ce stade, l’élément prothétique ne doit présenter aucun contact occlusal et doit être mis, de fait, en sous-occlusion ;
- troisièmement, toujours après la mise en place de la prothèse : il est, cette fois, demandé au patient de serrer des dents très fort sur le même ruban marqueur. L’objectif est de forcer l’ingression des dents afin d’obtenir, enfin, des contacts occlusaux sur l’élément prothétique.
Le concept de Misch peut…




