

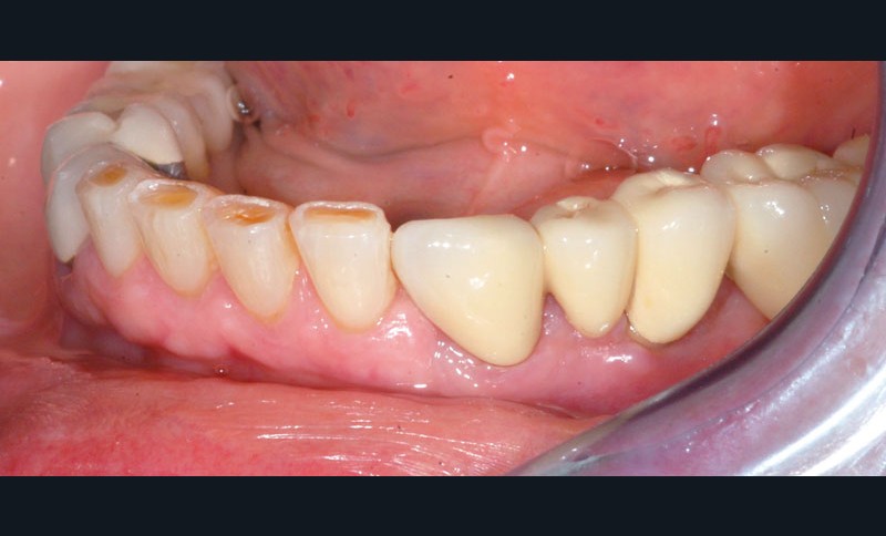
Après dépose du bridge mandibulaire et reprise du traitement endodontique, un bridge transitoire est réalisé à partir du wax-up. Une empreinte de celui-ci est faite avec Imprint™ 4 Preliminary Penta™ (3M ESPE).

Après dépose du bridge mandibulaire et reprise du traitement endodontique, un bridge transitoire est réalisé à partir du wax-up. Une empreinte de celui-ci est faite avec Imprint™ 4 Preliminary Penta™ (3M ESPE).

Après dépose du bridge mandibulaire et reprise du traitement endodontique, un bridge transitoire est réalisé à partir du wax-up. Une empreinte de celui-ci est faite avec Imprint™ 4 Preliminary Penta™ (3M ESPE).

Après dépose du bridge mandibulaire et reprise du traitement endodontique, un bridge transitoire est réalisé à partir du wax-up. Une empreinte de celui-ci est faite avec Imprint™ 4 Preliminary Penta™ (3M ESPE).

L’automoulage est garni avec une résine composite (Protemp™ 4, 3M ESPE), avant ajustage et finition (roues spirales Sof-Lex™, 3M ESPE), pose du bridge transitoire.

L’automoulage est garni avec une résine composite (Protemp™ 4, 3M ESPE), avant ajustage et finition (roues spirales Sof-Lex™, 3M ESPE), pose du bridge transitoire.

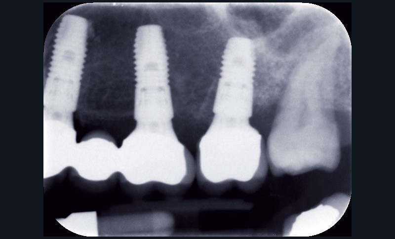
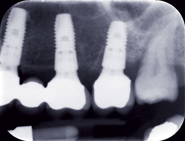
Au maxillaire, 3 implants Astra Tech Implant EV (Dentsply) sont posés en un temps chirurgical. Une empreinte pick-up sera réalisée après 4 mois de cicatrisation.

Une fois les transferts pick-up EV® transvissés, le porte-empreinte Tray, fenestré en regard des transferts, est chargé de matériau monophase Impregum™ Penta™ Soft (3M ESPE). Du matériau est déposé autour des transferts à l’aide d’une seringue. Après dévissage des transferts, ces derniers sont emportés dans l’empreinte et les analogues d’implants sont transvissés.

Une fois les transferts pick-up EV® transvissés, le porte-empreinte Tray, fenestré en regard des transferts, est chargé de matériau monophase Impregum™ Penta™ Soft (3M ESPE). Du matériau est déposé autour des transferts à l’aide d’une seringue. Après dévissage des transferts, ces derniers sont emportés dans l’empreinte et les analogues d’implants sont transvissés.

Une fois les transferts pick-up EV® transvissés, le porte-empreinte Tray, fenestré en regard des transferts, est chargé de matériau monophase Impregum™ Penta™ Soft (3M ESPE). Du matériau est déposé autour des transferts à l’aide d’une seringue. Après dévissage des transferts, ces derniers sont emportés dans l’empreinte et les analogues d’implants sont transvissés.

Une fois les transferts pick-up EV® transvissés, le porte-empreinte Tray, fenestré en regard des transferts, est chargé de matériau monophase Impregum™ Penta™ Soft (3M ESPE). Du matériau est déposé autour des transferts à l’aide d’une seringue. Après dévissage des transferts, ces derniers sont emportés dans l’empreinte et les analogues d’implants sont transvissés.

Une fois les transferts pick-up EV® transvissés, le porte-empreinte Tray, fenestré en regard des transferts, est chargé de matériau monophase Impregum™ Penta™ Soft (3M ESPE). Du matériau est déposé autour des transferts à l’aide d’une seringue. Après dévissage des transferts, ces derniers sont emportés dans l’empreinte et les analogues d’implants sont transvissés.

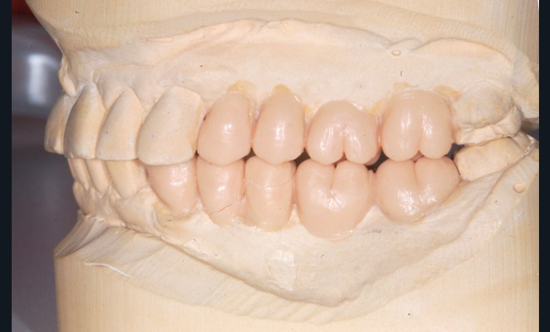
Le modèle de travail est fabriqué au laboratoire, des piliers CFAO Atlantis™ sont réalisés en fonction du bridge antagoniste transitoire.

Le modèle de travail est fabriqué au laboratoire, des piliers CFAO Atlantis™ sont réalisés en fonction du bridge antagoniste transitoire.

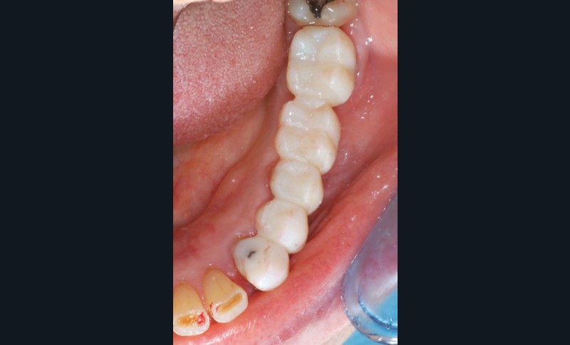
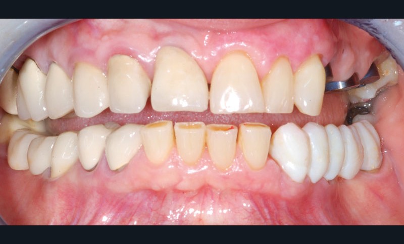
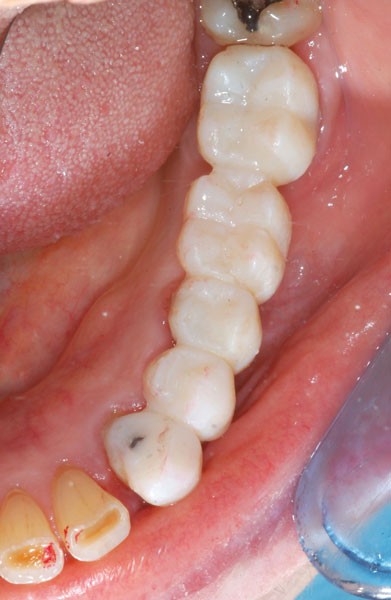
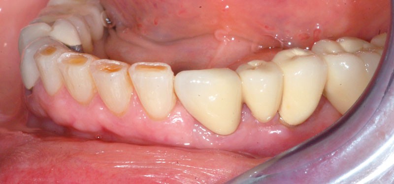
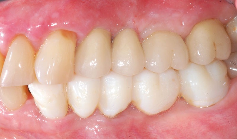
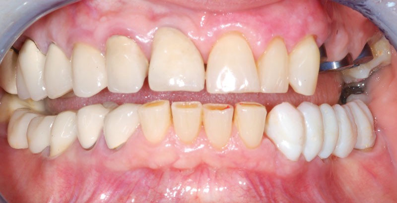
Le bridge 24-26 céramométallique et la couronne unitaire sur 27 sont réalisés. Les piliers CFAO sont transvissés sur les implants, puis les éléments céramo-métalliques sont posés. Le résultat montre un parfait respect du projet prothétique en fonction de la courbe occlusale obtenue avec le bridge transitoire réalisé avec le ProtempTM 4 et une adaptation parfaite.

Le bridge 24-26 céramométallique et la couronne unitaire sur 27 sont réalisés. Les piliers CFAO sont transvissés sur les implants, puis les éléments céramo-métalliques sont posés. Le résultat montre un parfait respect du projet prothétique en fonction de la courbe occlusale obtenue avec le bridge transitoire réalisé avec le ProtempTM 4 et une adaptation parfaite.

Le bridge 24-26 céramométallique et la couronne unitaire sur 27 sont réalisés. Les piliers CFAO sont transvissés sur les implants, puis les éléments céramo-métalliques sont posés. Le résultat montre un parfait respect du projet prothétique en fonction de la courbe occlusale obtenue avec le bridge transitoire réalisé avec le ProtempTM 4 et une adaptation parfaite.

Le bridge 24-26 céramométallique et la couronne unitaire sur 27 sont réalisés. Les piliers CFAO sont transvissés sur les implants, puis les éléments céramo-métalliques sont posés. Le résultat montre un parfait respect du projet prothétique en fonction de la courbe occlusale obtenue avec le bridge transitoire réalisé avec le ProtempTM 4 et une adaptation parfaite.

Le bridge 24-26 céramométallique et la couronne unitaire sur 27 sont réalisés. Les piliers CFAO sont transvissés sur les implants, puis les éléments céramo-métalliques sont posés. Le résultat montre un parfait respect du projet prothétique en fonction de la courbe occlusale obtenue avec le bridge transitoire réalisé avec le ProtempTM 4 et une adaptation parfaite.
Prothèses réalisées par Damien Lamaison, laboratoire Cérazur.
Fiche réalisée avec le soutien de 3M ESPE







