Le matériel
Du projet au champ opératoire
Adhésion et stratification initiale
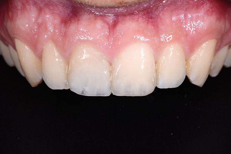
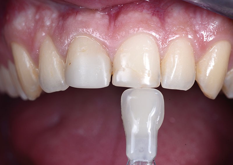
Après la dépose des anciennes restaurations les substrats sont propres et isolés, le travail de restauration peut débuter.
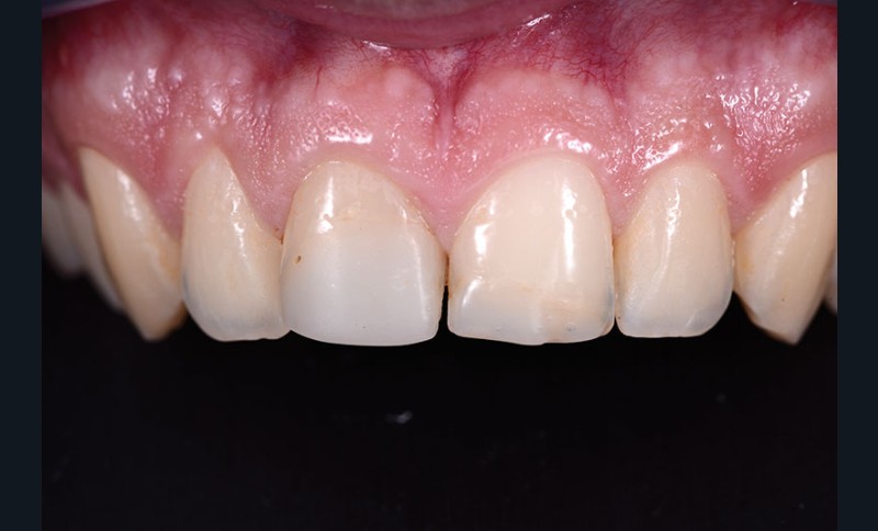
Réalisation et finitions
Stratification anatomique de la résine composite.
Ici, mise en place d’une masse dentinaire.
Du projet au champ opératoire
Anticiper la forme et la teinte finale, faire éventuellement valider par le patient. Préparer les surfaces de travail à la technique adhésive.
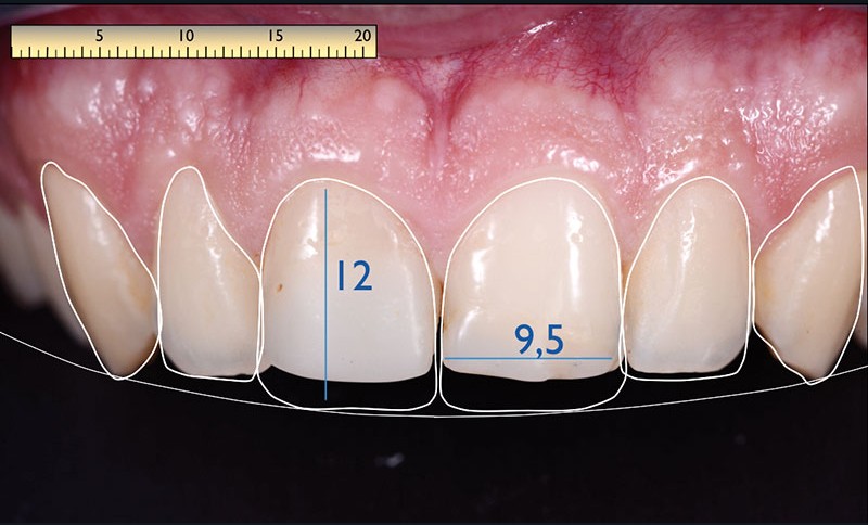
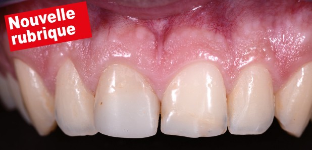
L’étude photographique initiale permet de prendre de la distance et de définir des formes pertinentes.
Cela permet notamment de présenter et proposer le traitement au patient.


bibli/1.3.1.jpgSablage alumine 25 microns, 2,5 bars, 10 secondes pour un nettoyage fin et une augmentation de la surface développée d'adhésion et mordançage mécanique (sableuse Dangervil®).
bibli/2.1.1.jpgRéalisation de la technique adhésive choisie, ici un MR3 (mordançage, rinçage en 3 étapes) avec Optibond® FL de Kerr.
bibli/2.2.2.jpgEssayage de la clé en silicone réalisée préalablement sur le modèle de cire ajoutée et réalisation du pan palatin de la restauration.
bibli/2.3.1.jpgCréation des mamelons dentaires à ce stade, choix du type de bord libre.
bibli/3.1.1.jpgApposition de la masse amélaire vestibulaire.
bibli/3.2.1.jpgCréation de morphologies macro et microscopiques.
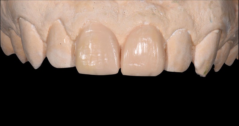
bibli/3.3.2.jpg1. Le bilan photographie permettra une étude détaillée des formes. Il est possible de s’aider d’un logiciel d’analyse qui chiffrera les corrections afin de guider le wax-up, ici le DSD est donné en exemple pour ce cas très simple.
bibli/1.1.2.jpg2. La cire ajoutée va concrétiser le projet selon le dessin initial. Si le cas est simple ou doit être rapide, il est possible de réaliser un premier composite rapidement directement en bouche qui prend alors le rôle de mock-up pour tester et réaliser la clé en silicone.
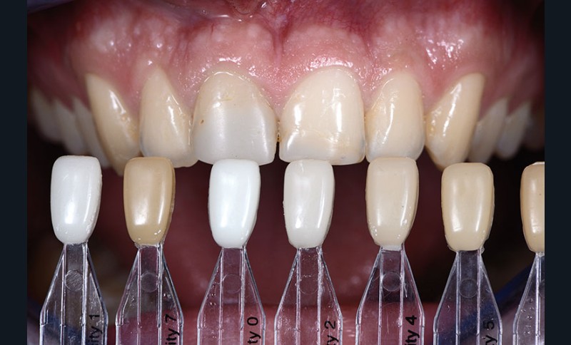
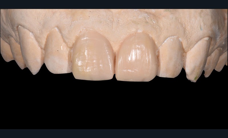
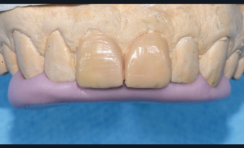
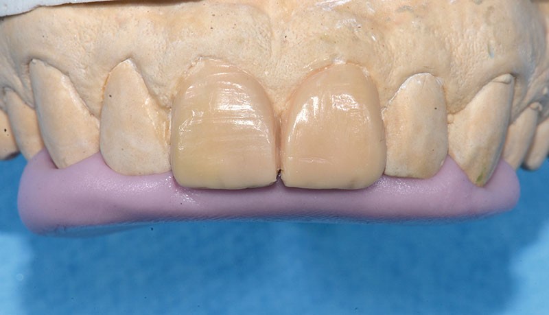
bibli/1.1.3.jpg3. La sélection des masses composite de reconstruction se fait après une analyse préopératoire de la teinte, avant la mise en place du champ opératoire et sur un support propre et correctement éclairé. Ici les masses dentines du composite Inspiro® se prennent dans le premier tiers cervical des dents.
4. La sélection de la masse amélaire se fait au niveau du bord libre, par superposition à la masse dentaire en interposant un gel de glycérine.

bibli/2.1.1.jpgRéalisation de la technique adhésive choisie, ici un MR3 (mordançage, rinçage en 3 étapes) avec Optibond® FL de Kerr.
bibli/2.2.2.jpgEssayage de la clé en silicone réalisée préalablement sur le modèle de cire ajoutée et réalisation du pan palatin de la restauration.
bibli/2.3.1.jpgCréation des mamelons dentaires à ce stade, choix du type de bord libre.
bibli/3.1.1.jpgApposition de la masse amélaire vestibulaire.
bibli/3.2.1.jpgCréation de morphologies macro et microscopiques.
bibli/3.3.2.jpg1. Le bilan photographie permettra une étude détaillée des formes. Il est possible de s’aider d’un logiciel d’analyse qui chiffrera les corrections afin de guider le wax-up, ici le DSD est donné en exemple pour ce cas très simple.
bibli/1.1.2.jpg2. La cire ajoutée va concrétiser le projet selon le dessin initial. Si le cas est simple ou doit être rapide, il est possible de réaliser un premier composite rapidement directement en bouche qui prend alors le rôle de mock-up pour tester et réaliser la clé en silicone.
bibli/1.1.3.jpg3. La sélection des masses composite de reconstruction se fait après une analyse préopératoire de la teinte, avant la mise en place du champ opératoire et sur un support propre et correctement éclairé. Ici les masses dentines du composite Inspiro® se prennent dans le premier tiers cervical des dents.
bibli/1.2.1.jpg4. La sélection de la masse amélaire se fait au niveau du bord libre, par superposition à la masse dentaire en interposant un gel de glycérine.
bibli/1.2.2.jpg5. La clé de guidage en silicone est réalisée sur le modèle diagnostique. Elle ne recouvre pas le bord libre et épouse l’anatomie palatine.
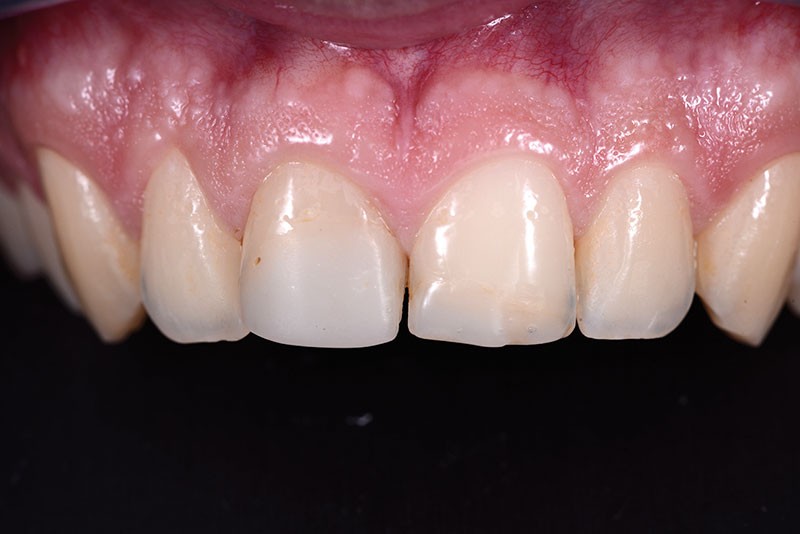
bibli/dsc9795.jpg6. Une fois les surfaces nettoyées à la ponce, le champ opératoire est installé. Il est primordial de pouvoir travailler sur une surface propre et isolée.
7. Le champ opératoire installé de 14 à 24 est une très bonne solution afin d’avoir suffisamment de place pour les manipulations. Le patient, de son côté, est confortable.
Adhésion et stratification initiale
C’est le cœur de la séance, rigueur dans l’application des composants adhésifs, délicatesse dans la manipulation des masses composites.
[gallery…




















