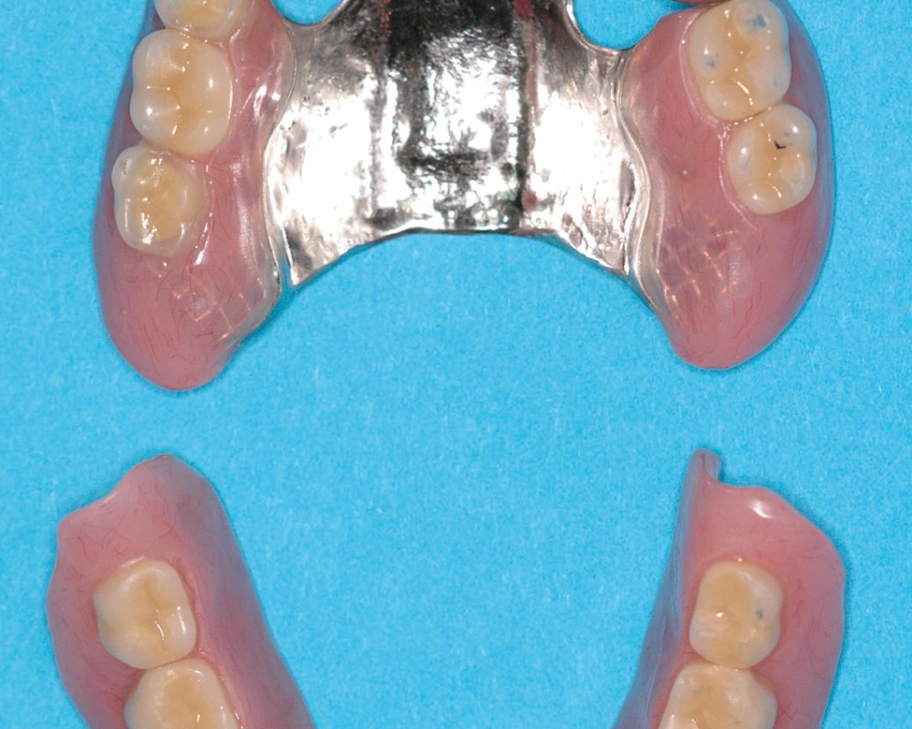
Lorsqu’une réalisation prothétique associe la prothèse fixée à la prothèse amovible partielle (prothèse composite), la conduite du traitement présente des spécificités inhérentes à la dualité prothétique en présence. Ainsi, la prothèse fixée concernée par les dents support verra sa morphologie modifiée par l’aménagement de surfaces d’appui, de stabilisation ou de guidage conformément au tracé prospectif établi lors de la conception de la prothèse amovible. Les techniques d’empreinte conventionnelles destinées à la réalisation de la prothèse fixée peuvent être avantageusement substituées par des techniques faisant appel à des bases dures de transfert qui autorisent le repositionnement du modèle de travail, après moulage de l’empreinte, directement sur le modèle antagoniste. Cette procédure permet de s’affranchir des étapes d’enregistrement de la relation maxillo-mandibulaire à l’aide de maquettes d’occlusion.
Réalisation d’une prothèse amovible avec couronnes fraisées
- Par
- Publié le . Paru dans Réalités Cliniques n°3 - 15 septembre 2013 (page 237-246)
Cet article est réservé aux abonnés.
Pour lire la suite :
Vous êtes abonné.e ?
Connectez-vous
Pas encore abonné.e ?
Abonnez-vous
Abonnez-vous pour recevoir la revue et bénéficier des services en ligne et des avantages abonnés.
Vous pouvez également :
Acheter l'article
En version numérique
Acheter le numéro
À l'unité