Au cours de l’évolution dentaire, l’axe d’éruption de la dent dans le procès alvéolaire influe sur l’épaisseur des corticales vestibulaires et la position finale du contour gingival (phénotype parodontal).
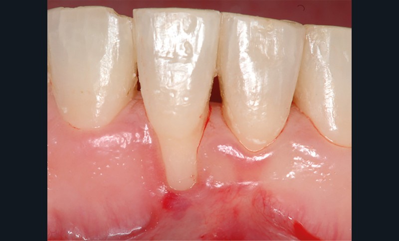
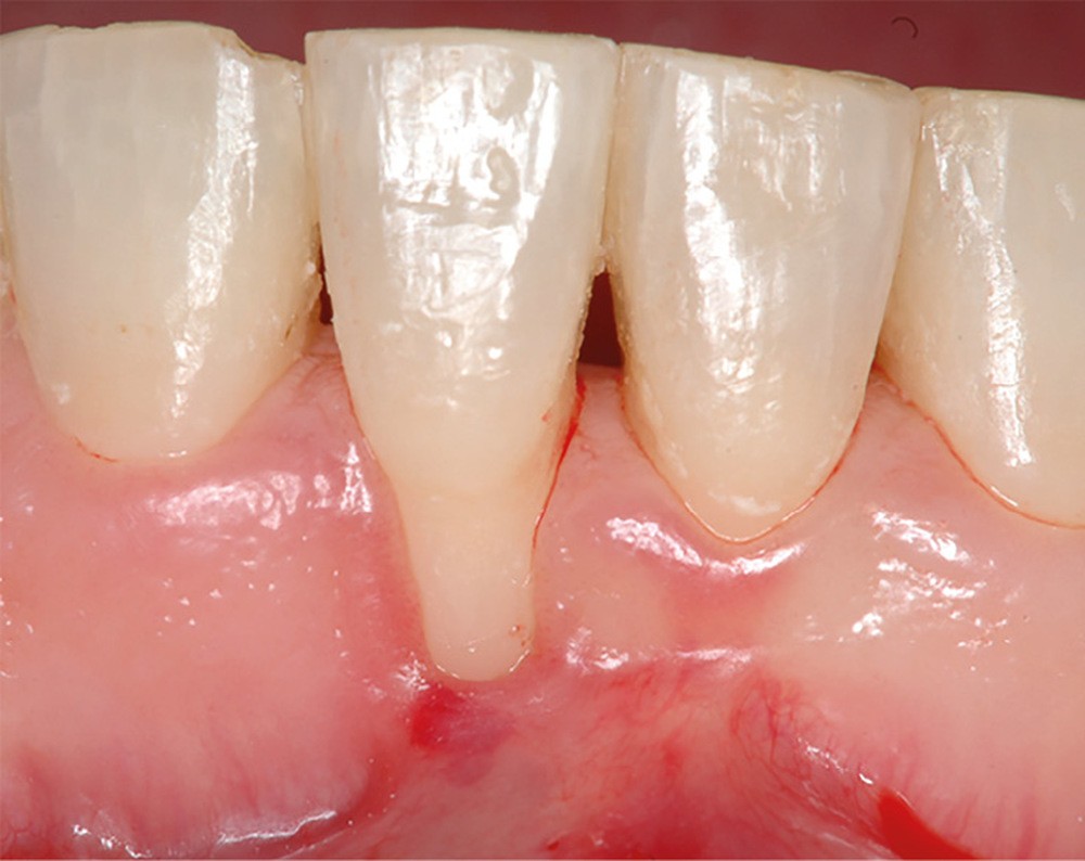
Dans un contexte parodontal sain, le principal facteur de risque à identifier avant un traitement orthodontique est le phénotype parodontal fin. L’examen clinique se réalise à l’aide d’une sonde parodontale graduée. Celle-ci est visible par transparence lors de son insertion dans le sulcus (fig. 1). D’un point de vue clinique, il est important de remarquer qu’il peut exister des différences d’épaisseur et de hauteur des tissus kératinisés (phénotype gingival) en fonction des dents d’un même secteur (fig. 2).
D’autres facteurs de risques parodontaux sont aussi à identifier ; ils sont résumés dans le tableau 1.
En plus du contexte parodontal, le type de mouvements orthodontiques envisagés est à considérer. Dans le secteur incisivo-canin mandibulaire, un des objectifs classiques du traitement orthodontique est le repositionnement de l’incisive dans un axe compatible avec des relations inter-arcades harmonieuses (≤ 95°). Dans certains cas, l’objectif à atteindre peut se traduire par un mouvement de la racine vers le vestibule. Ce mouvement est considéré comme à risque et peut aggraver une situation parodontale initiale non favorable. Face à une situation clinique complexe, il est possible de synthétiser les facteurs positifs et négatifs et considérer que l’accumulation de deux facteurs négatifs conduit à la recommandation d’adresser le patient chez un parodontiste (tableau 1).
|
Tableau 1 – Facteurs de risques positifs ou négatifs à considérer pour l’indication de chirurgie plastique parodontale dans le cadre d’un traitement orthodontique |
||
|
facteurs de risques positifs |
facteurs de risques négatifs |
|
|
facteurs ORTHODONTIQUES |
||

