Pourquoi renforcer le biotype parodontal ?
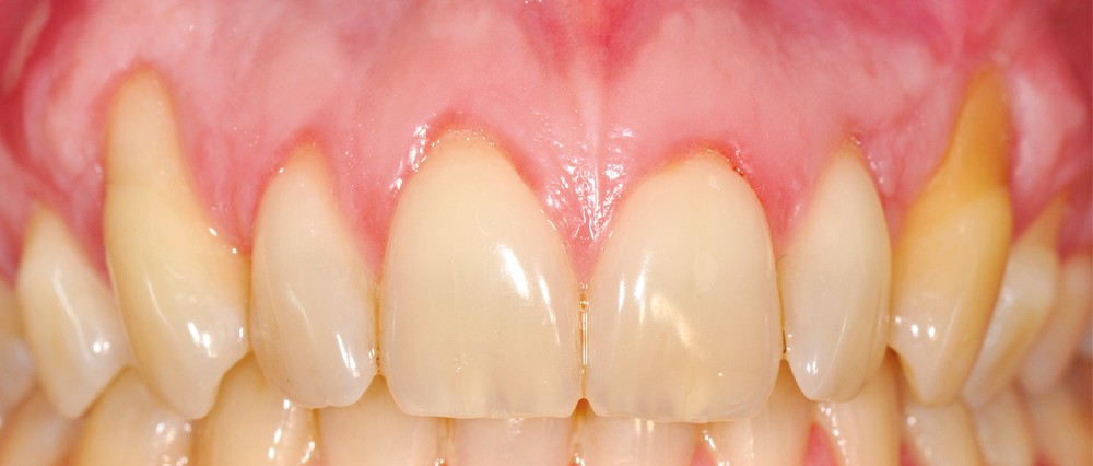
Physiologiquement, la composition de la gencive lui offre une résistance bien supérieure à celle de la muqueuse alvéolaire face aux traumatismes mécaniques, chimiques, et aux agressions bactériennes. Le consensus professionnel reconnaît aujourd’hui que la santé parodontale optimale est permise grâce à une hauteur de tissu kératinisé de 2 mm, et une hauteur de gencive attachée de 1 mm [1].
Son épaisseur est aussi un facteur décisif pour la stabilité de l’attache parodontale ; en moyenne de l’ordre de 0,8 à 1 mm, elle est examinée à l’aide d’une sonde parodontale [2, 3].
La plupart des projets thérapeutiques, qu’ils soient des soins conservateurs, des traitements prothétiques ou des traitements orthodontiques, peuvent favoriser l’apparition d’une récession parodontale, et exigent une analyse méticuleuse du phénotype gingival en amont.
« Docteur, j’ai les dents sensibles, que faire ? » : traitements des lésions cervicales non carieuses (LCNC)
Les récessions gingivales sont souvent associées à des hypersensibilités dentaires, surtout en présence de LCNC, dont la prévalence (11,4 % à 62,2 %) et la sévérité augmentent avec l’âge du patient [2].
Ces situations cliniques sont principalement provoquées par un brossage traumatique et nécessitent avant tout une correction de la technique de brossage, largement aidée par les brosses à dents électriques à poils doux et indicateur de pression.
En cas d’hypersensibilités, les patients sont dans l’attente d’une réponse immédiate.
Or, si le recouvrement radiculaire espéré n’est que partiel, il est alors indiqué de prescrire, dans un premier temps, des adjuvants désensibilisants tels que des dentifrices et/ou vernis. La chirurgie de recouvrement étant ainsi une alternative de deuxième intention.
Si la demande est à la fois fonctionnelle et esthétique (dyschromie, dents…
