Hétérogénéité des pratiques [2]
Les pratiques sont nombreuses et variées.
- En effet, la gouttière thermoformée est plébiscitée et utilisée au maxillaire par 2 orthodontistes français sur 3.
- La plaque de Hawley est utilisée par 1 orthodontiste français sur 5.
- L’enveloppe linguale nocturne est un dispositif très français. Son utilisation n’est pas rapportée aux États-Unis. Elle est utilisée en France en routine par 1 orthodontiste sur 10 et occasionnellement par 1 orthodontiste sur 3.
- Le positionneur est utilisé par 1 orthodontiste sur 3, il n’est pas non plus rapporté aux États-Unis.
- Il y a aussi la question du fil pour laquelle, même au niveau international, il n’y a pas réellement de consensus : 4 orthodontistes français sur 5 réalisent une contention 6 dents mandibulaire en fin de traitement, contre 1 orthodontiste américain sur 2. La moitié des orthodontistes américains n’utilisent donc pas le fil de contention 6 dents mandibulaire, souvent considéré en France comme le fil « standard ».
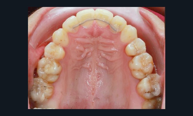
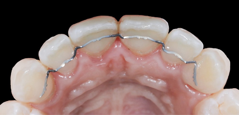
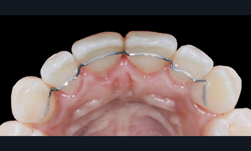
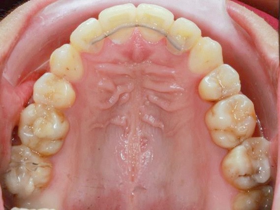
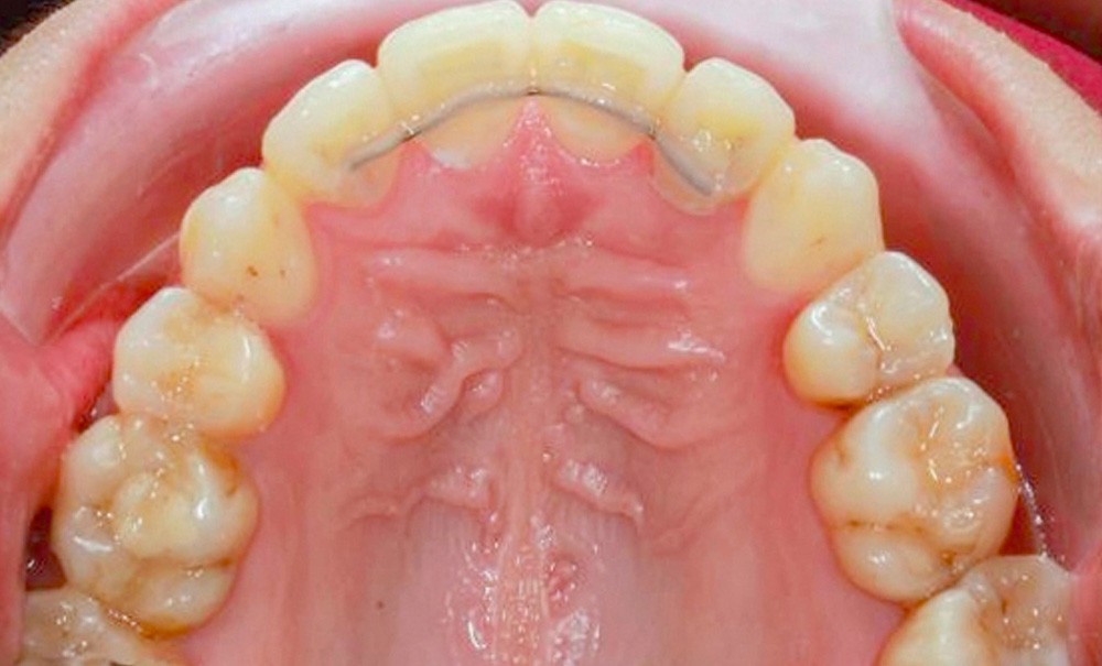
- Quant au fil de contention maxillaire, il n’est finalement pas tellement utilisé : le fil de canine à canine est utilisé par 15 % des orthodontistes français ; le fil de latérale à latérale est utilisé en routine par 1 orthodontiste français sur 4 (fig. 1). Certains praticiens cumulent les fils collés et les contentions amovibles.
L’arrivée des technologies numériques dans les cabinets orthodontiques permet une évolution de la contention, de sa conception et de sa réalisation (fig. 2) [3].
Protocole des recommandations [4]
La SFODF, en tant que société savante, a décidé de réaliser des recommandations sur la contention [5].
Nous avons suivi un protocole de réalisation établi par la HAS en 1998, qui nous a amenés à consulter plusieurs banques de données bibliographiques comme PubMed, la Cochrane, ainsi que les sites internet de différents…

