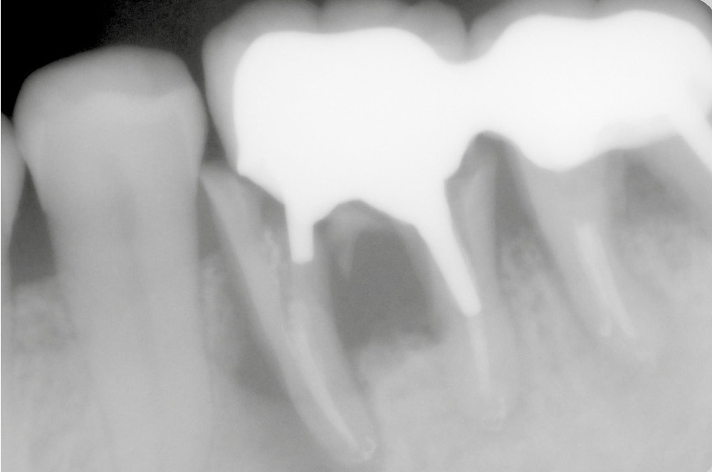
Les différentes reconstitutions corono-radiculaires (RCR) sont représentées par des techniques directes (dites par matériaux insérés en phase plastique ou RMIPP) ou des techniques indirectes (inlay-core). Dans tous les cas, le tenon radiculaire assure le soutien de la portion coronaire de la reconstitution, elle-même support de la coiffe prothétique. Ce tenon n’a donc qu’un rôle de rétention, et ne renforce aucunement la dent. Au contraire, la présence d’un tenon radiculaire est un facteur fragilisant du fait de la transmission des contraintes qu’il diffuse au cœur même de la racine.
Cependant, certains facteurs peuvent jouer un rôle fondamental dans la prévention des fractures radiculaires. Parmi eux, nous détaillerons ici les principes d’économie tissulaire, le module d’élasticité et le collage, mais aussi la notion de cerclage afin de permettre au praticien d’évaluer et d’optimiser le pronostic des dents fortement délabrées.
Le choix du type de reconstitution corono-radiculaire
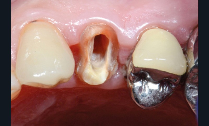
Il est communément admis que l’évaluation des parois dentinaires résiduelles après préparation périphérique externe, est le facteur principal de choix de la RCR [2].
Ainsi, les RMIPP sont indiquées lorsque la dent présente 2,5, voire 2 parois, et que la mise en place d’un champ opératoire (digue) est possible pour assurer les procédures de collage dans les meilleures conditions d’étanchéité.
En deçà de 2 parois résiduelles ou en cas de limites cervicales trop profondes pour garantir une parfaite isolation, l’inlay-core trouve traditionnellement son indication.
L’application stricte de ces règles élémentaires oriente donc préférentiellement, dans le cas de perte tissulaire modérée ou importante, vers la réalisation d’inlay-core (fig. 1a-b).
L’économie tissulaire
La réalisation d’une RCR implique des étapes de préparation coronaire et radiculaire.
Comme dans la plupart des…

