Reconstruction en antéposition

  • Par
  • Publié le . Paru dans L'Information Dentaire n°27 - 6 juillet 2022
Information dentaire

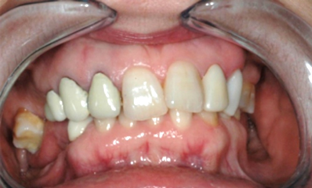
Cet article présente un cas clinique dont l’objectif d’illustrer les étapes diagnostiques et thérapeutiques à mettre en œuvre lors d’une reconstruction occluso-prothétique dans une position thérapeutique corrigeant la relation intermaxillaire initiale.

Les chirurgiens-dentistes sont parfois confrontés à des réhabilitations orales complexes. Les difficultés peuvent être dues à des délabrements ou des migrations dentaires, des affrontements occlusaux chaotiques, mais aussi à une relation dento-squelettique défavorable. Cela s’accompagne souvent d’une usure excessive des dents plus ou moins associée à une perte de dimension verticale. Les praticiens se rendent compte que ces usures se sont développées sur de nombreuses années en modifiant également les relations intermaxillaires. Cette modification constitue ainsi une réponse adaptative à l’évolution continue des usures/délabrements des dents. Ces situations nécessitent souvent une reconstruction de l’architecture occlusale, avec parfois une modification de la relation intermaxillaire et non pas une restauration prothétique dans le contexte existant.

La relation intermaxillaire

Avant tout type de réhabilitation, il est nécessaire d’identifier les causes qui ont conduit aux anomalies occlusales. Aucune reconstruction occlusale étendue ne peut être engagée sans mettre en œuvre au préalable des procédures diagnostiques cliniques et instrumentales approfondies.

Pour toute réhabilitation occlusale, deux paramètres principaux sont à établir : le premier est la position de référence entre les arcades (il s’agit d’une exigence pour la stabilité future de l’appareil manducateur), le deuxième est la dimension verticale d’occlusion. Elle est évaluée céphalométriquement par la valeur de l’angle de la hauteur faciale inférieure, ou Lower Facial Height (LFH), entre le point supragonion (Pm), le point Xi, et l’épine nasale antérieure.

Dans certains cas de réhabilitation occlusale complexe, la relation intermaxillaire recherche une situation d’équilibre des Articulations Temporo-Mandibulaires (ATM) avec des structures saines, de sorte que condyles et disques présentent un centrage fonctionnel et anatomique (cela…

Cet article est réservé aux abonnés.
Pour lire la suite :

Vous êtes abonné.e ? Connectez-vous
Mot de passe
oublié ?

Vous pouvez également :

Acheter l'article En version numérique
Acheter le numéro À l'unité

Thèmes abordés