Coordination : Kinz Bayet
En 1986, Paul Tessier décrit le prélèvement rétro molaire dans la reconstruction des planchers de l’orbite chez des patients atteints de syndrome malformatif rare [3]. En 1996, C. Misch est l’un des premiers à adapter le prélèvement rétro molaire à la chirurgie préimplantaire [4]. F. Khoury décrit au début des années 2000 une technique de reconstruction osseuse préimplantaire permettant de corriger une atrophie verticale et transversale : le coffrage 3D [5, 6]. Nous allons l’illustrer ici à travers un cas clinique.
Cas clinique
Une patiente de 38 ans consulte pour une réhabilitation implanto-portée après exérèse d’un améloblastome mandibulaire gauche. Elle ne présente pas d’autres antécédents ni d’intoxication éthylo-tabagique.
Historique
En 2018, son chirurgien-dentiste traitant l’adresse chez un chirurgien oral pour la prise en charge d’une lésion kystique de découverte fortuite. Une biopsie permet de poser le diagnostic histologique d’améloblastome, traité secondairement par mandibulectomie non interruptrice non conservatrice du nerf alvéolaire inférieur et des dents 33 à 36. Une prothèse adjointe partielle de temporisation est réalisée par son praticien traitant le temps de la surveillance clinico-radiologique. Après deux ans sans récidive, la patiente est adressée dans notre service pour une réhabilitation fixe implanto-portée.
Examen
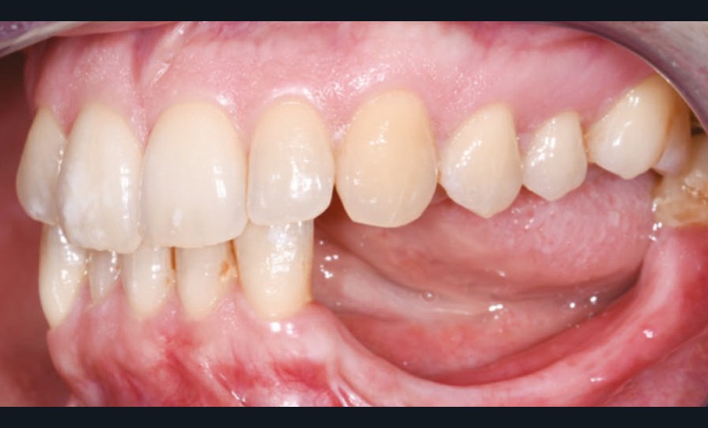
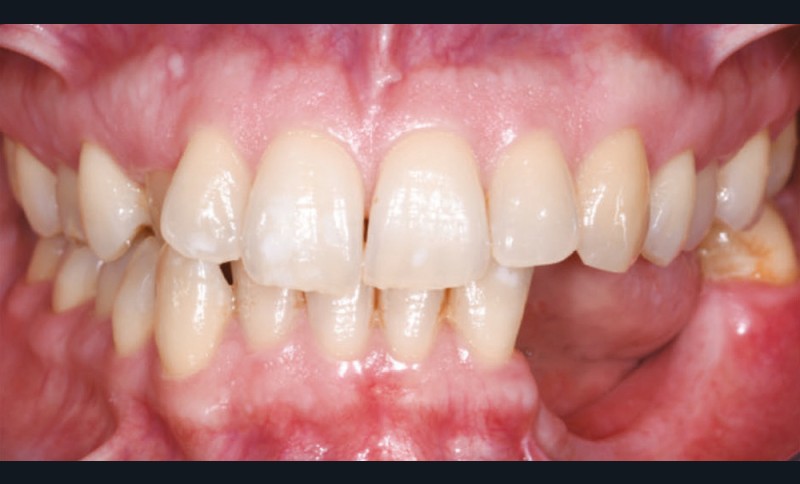
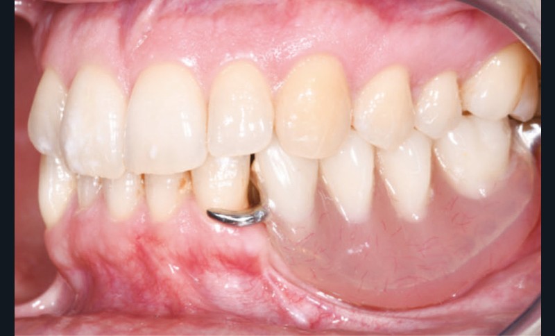
L’examen facial est sans particularités notables. L’examen buccal retrouve un édentement de 33 à 36, compensé par une prothèse amovible, avec une atrophie osseuse transversale et verticale majeure entraînant une augmentation de l’espace prothétique. Il persiste un fin bandeau de gencive kératinisée crestal. Le reste de la denture est sain, l’articulé est en classe I avec un inversé d’articulé sur 13 (fig. 1).
La radiographie panoramique ne retrouve pas de récidive…



