Reconstruction osseuse verticale pré-implantaire

  • Par
  • Publié le . Paru dans L'Information Dentaire n°2 - 15 avril 2019 (page 74-82)
Information dentaire
Les réhabilitations prothétiques implanto-portées nécessitent un volume osseux suffisant dans les trois sens de l’espace pour placer les implants dans un axe prothétique idéal. Cependant, les causes d’atrophie du volume osseux sont multiples, comme la résorption osseuse physiologique, pathologique ou post-traumatique, les infections préexistantes ou le port de prothèse adjointe. Le taux de survie et de succès implantaire à dix ans est respectivement de 92,8 % [1] et de 69,4 % [2]. Ainsi, les complications et échecs implantaires entraînent systématiquement une résorption osseuse qui devra souvent être corrigée avant une nouvelle pose d’implants. La pratique de l’implantologie inclut donc la prise en charge d’atrophies osseuses plus ou moins importantes.

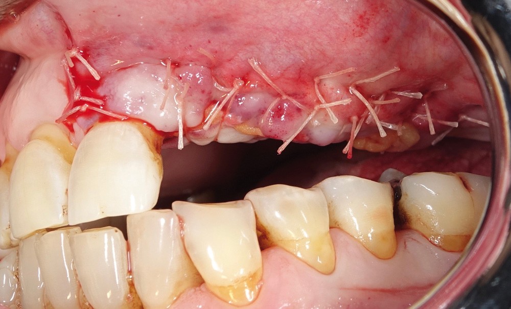
Parmi les atrophies osseuses, le diagnostic de défauts verticaux osseux est assez fréquent lors de consultation en vue de chirurgie implantaire. Leur correction est exposée à un plus grand risque d’échec que les augmentations osseuses horizontales [3] du fait du risque plus important de résorption et d’exposition. Dans les techniques d’augmentation osseuse, l’os autogène reste le matériau de référence en raison de ses propriétés ostéoconductrices et ostéogéniques. L’os allogénique donne aussi des résultats intéressants, mais il existe peu d’études à long terme sur la stabilité du volume greffé [4].

Les différentes techniques d’augmentation du volume osseux en vue de la pose d’implants dentaires ont pour objectif de recréer une architecture osseuse alvéolaire propice à la revascularisation des greffons. Les prélèvements osseux endo-buccaux ont notre préférence, car ils peuvent être réalisés sous anesthésie locale et sont mieux acceptés par les patients. De plus, la quantité d’os disponible au niveau de ces sites permet de reconstruire de grandes pertes de substance [5-7]. Les facteurs favorables au succès d’une autogreffe osseuse sont la stabilité initiale du greffon, la fermeture muqueuse sans tension et le maintien de la vascularisation [8]. Plusieurs études ont montré une meilleure incorporation des greffons lorsque le site de prélèvement et le site receveur avaient la même origine embryonnaire [8, 9].

L’objectif de ce travail est de présenter trois techniques d’augmentation osseuse verticale. En effet, il n’a pas pour vocation de décrire exhaustivement toutes les techniques d’augmentation du volume osseux. Ainsi, les techniques d’augmentation sous-sinusienne ne seront pas abordées. De même pour les techniques de régénération osseuse guidée par membrane résorbable ou non résorbable armée qui peuvent également être intéressantes pour les corrections de défauts verticaux de…

Cet article est réservé aux abonnés.
Pour lire la suite :

Vous êtes abonné.e ? Connectez-vous
Mot de passe
oublié ?

Vous pouvez également :

Acheter l'article En version numérique
Acheter le numéro À l'unité

Thèmes abordés