Il est intéressant et enrichissant de pouvoir suivre des patients sur plusieurs années. La confiance et la fidélité réciproques échangées sont un inestimable présent professionnel [1]. Cet article en est l’illustration, avec le suivi d’un cas traité durant onze ans abordant les problèmes posés par des usures dentaires, la dimension verticale et la réalisation de prothèses composites chez une personne âgée.
Présentation du cas
Un patient de 89 ans, fréquentant fidèlement le cabinet dentaire depuis vingt ans, revient après quelques années de pause émaillées de problèmes de santé, avec la vive motivation d’améliorer l’aspect de son sourire. Ses petits-enfants craignent de l’embrasser, ce qui lui est insupportable. Aucune gêne fonctionnelle particulière n’est exprimée.
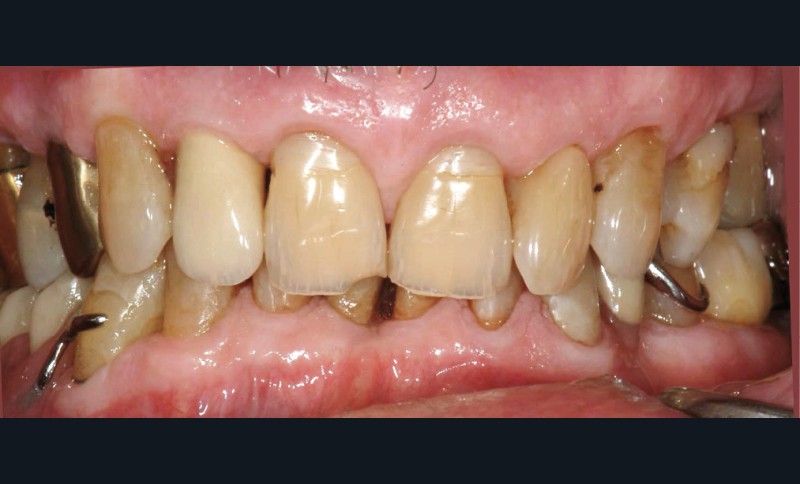
La prothèse partielle à armature métallique mandibulaire (PPAM) et la restauration du secteur antérieur à l’aide de matériau composite ont été réalisées en 2007. Le patient présente une occlusion de type classe II d’Angle génératrice de sévères abrasions du secteur incisif mandibulaire. Sur les photographies initiales (fig. 1a, b), on constate les prémices de traumas occlusaux (fracture de l’angle de 11, érosions des collets restaurés précédemment).
En 2017, l’examen clinique de la face révèle un menton projeté vers l’avant et un léger affaissement des commissures labiales (fig. 2a, b).
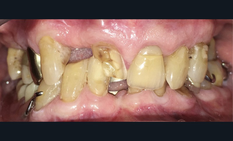
Le maxillaire présente un édentement de classe III subdivision 2 de Kennedy-Applegate (K-A). La 12 est absente et la 11 fracturée. 24-25-26 ont été extraites depuis longtemps (fig. 3a). 15 et 17 sont dépulpées et restaurées avec des composites anciens mais non infiltrés.
À la mandibule, une prothèse partielle à armature métallique conçue selon les critères ayant fait l’objet d’un large consensus, compense un édentement de classe II, subdivision 3…



