Cas clinique
Diagnostic et thérapeutique initiale
Motif de consultation
Monsieur C, 47 ans, se présente à la consultation de parodontologie de la Timone (Marseille) pour des hypersensibilités radiculaires secteur 1 et des récessions gingivales qui le gênent esthétiquement.
Diagnostic parodontal
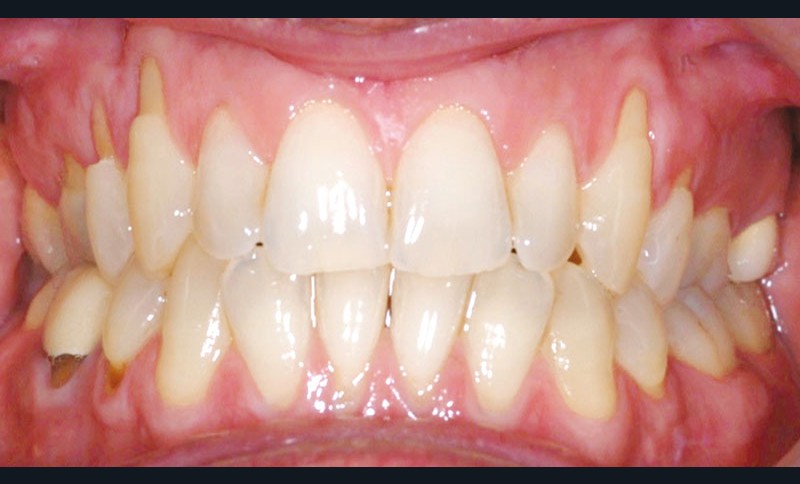
Lors du sourire, le patient découvre les papilles inter-dentaires et les récessions maxillaires(fig. 1).
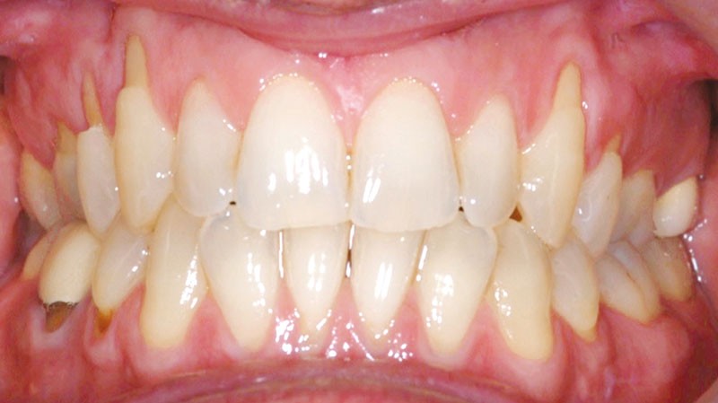
L’examen clinique révèle un parodonte de type III [6] et un biotype fin et festonné [10]. On observe une très faible quantité de plaque et l’absence d’inflammation gingivale. Le sondage parodontal ne met aucune poche parodontale en évidence (fig. 2).
Étiologie des récessions
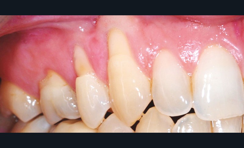
Le brossage traumatique est le principal facteur déclencheur de ces récessions ; accentué par la présence d’un parodonte fin (facteur de prédisposition). On peut observer la présence d’une lésion cervicale d’usure (LCU) marquée sur la 14, liée au phénomène d’abrasion, dont la jonction émail-cément (JEC) n’est plus identifiable (classe B+ [8]).
Notre objectif thérapeutique premier est de supprimer ce facteur déclencheur avec une correction de la méthode de brossage. Avant toute intervention, la JEC et le profil d’émergence de la 14 sont reconstitués avec une restauration en résine composite afin de recréer la convexité radiculaire pour une meilleure adaptation des tissus mous sur la surface radiculaire et de repérer la ligne de recouvrement maximale [1, 12] (fig. 3).
Seul le secteur 1 sera décrit dans cet article.
Intervention chirurgicale
Nos objectifs thérapeutiques seront de recouvrir les récessions, de renforcer le parodonte et de pérenniser les résultats à long terme.
Un lambeau positionné coronairement avec rotation des papilles décrit par Zucchelli et De Sanctis en 2000 [11] est choisi…


