SFPIO Rubrique de la Société Française de Parodontologie et d’Implantologie Orale
Examen clinique
Notre patiente de 44 ans, soucieuse de son sourire, se plaint d’hypersensibilités dentinaires et désire recouvrir ses racines dénudées. Lors de l’anamnèse, nous relevons qu’elle ne fume pas et qu’elle se brosse les dents après chaque repas de manière très énergique.
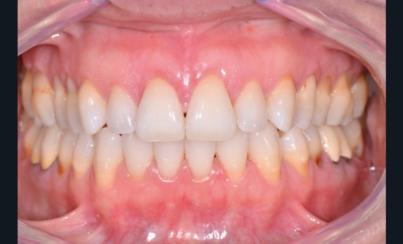
L’examen clinique révèle un biotype de type III et IV de Maynard et Wilson [1], dans les secteurs latéraux, une inflammation modérée en corrélation avec des dépôts supra-gingivaux et des restaurations débordantes, l’absence de poches parodontales, des pertes papillaires de classe I de Nordland et Tarnow [2] et des récessions gingivales associées à des lésions cervicales d’usure non carieuses et carieuses (35/45) majoritairement comblées par des restaurations en résine composite (fig. 1).
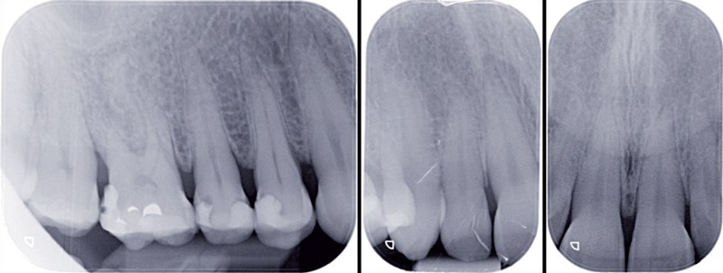
À l’examen radiographique, nous observons, surtout, une alvéolyse modérée généralisée compliquée par des lésions inter-radiculaires de classe I [3] sur 36 et 46 et des lésions carieuses sur les prémolaires maxillaires (fig. 2).
Diagnostic
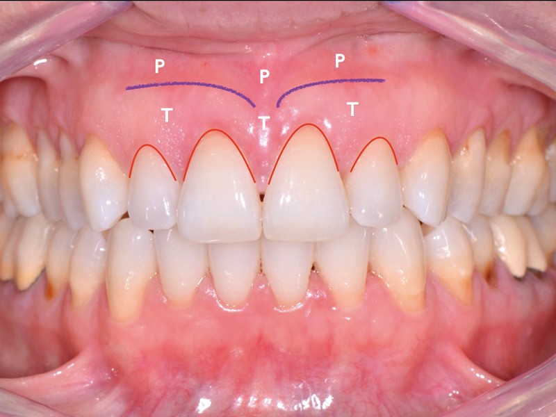
La patiente présente une parodontite chronique modérée généralisée stabilisée [4]. Étant donné la perte d’attache interproximale, les récessions sont de classe III de Miller [5] ou RT2 de Cairo [6] associées à des lésions cervicales d’usure.
L’étiologie directe de ces atteintes tissulaires est la technique de brossage traumatogène sur un biotype parodontal fin, donc à risque et prédisposant aux récessions gingivales [1, 7].
Objectifs thérapeutiques
Afin de répondre à la demande de la patiente et d’obtenir un résultat pérenne, nos objectifs thérapeutiques seront :
– correction de la technique de brossage et résolution de l’inflammation ;
– recouvrement radiculaire ;
– diminution des hypersensibilités dentinaires.
Solutions thérapeutiques
Puisque la cause principale des récessions est la technique…

