Trois étapes semblent essentielles à respecter pour assurer l’équilibre prothétique : définir la classe d’édentement, sa problématique et réaliser le tracé d’un châssis théorique, analyser les éléments positifs et négatifs, analyser le modèle d’étude au paralléliseur.
Définir la problématique de la classe d’édentement et un tracé théorique
Pour chaque classe d’édentement, il est possible de décrire une problématique liée aux mouvements de déstabilisation prothétique lors de la fonction (voir encadré « A chaque classe d’Éventement sa problématique »). Ceux-ci se produisent essentiellement dans deux situations : la mastication d’aliments durs et la mastication d’aliments mous et collants [1].
La conception du châssis doit donc chercher à lutter contre ces mouvements, d’une part par un tracé de l’armature pertinent, et, d’autre part, par le choix d’un axe d’insertion adapté. En effet, le mouvement de décollement se faisant selon l’axe de la mastication, axe perpendiculaire au plan d’occlusion, il convient de chercher un axe d’insertion différent de la verticale lorsque l’édentement est terminal ou de très grande étendue, c’est-à-dire lorsque la prothèse est principalement muco-supportée.
Cas clinique
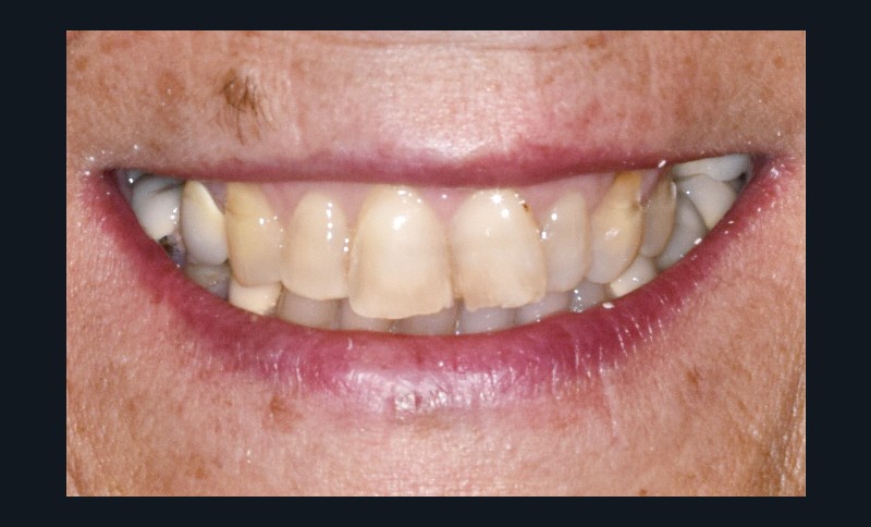
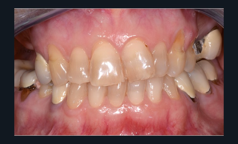
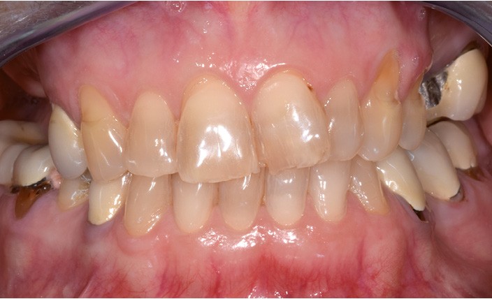
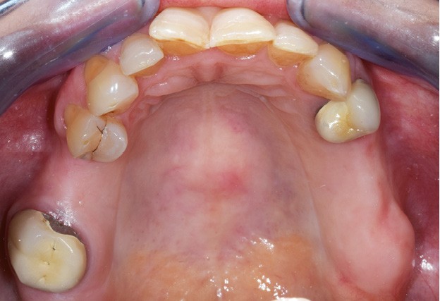
Une patiente d’une cinquantaine d’années consulte pour refaire sa prothèse amovible partielle métallique maxillaire, source d’inconfort (fig. 1 et 2).
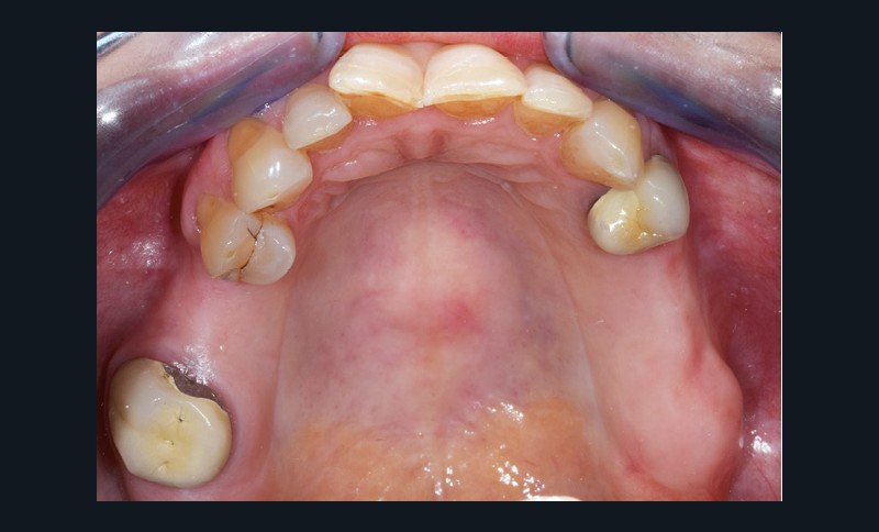
Nous sommes en présence, au maxillaire, d’un édentement de classe 2 subdivision 1 de moyenne étendue (fig. 3). La problématique propre à ce cas de classe 2 est le soulèvement lors de la mastication d’aliments mous/collants et l’asymétrie. Cependant, la présence d’une subdivision compense en partie l’asymétrie. La recherche d’appuis les plus antérieurs possible à l’axe de rotation pour contrer le mouvement de soulèvement postérieur est également…


