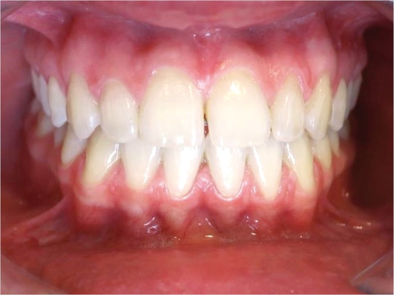
Vous est-il déjà arrivé qu’un patient revienne durant la période de contention et qu’il vous dise : « j’ai perdu mon fil de contention et mes dents se sont écartées ! ». En effet, un fil de contention décollé peut créer un diastème et une malposition d’une ou plusieurs dents surtout si le patient ne s’en est pas aperçu ou qu’il a trop tardé pour consulter son orthodontiste.
Mais d’autres phénomènes peuvent en être aussi la cause : une poussée ou une succion linguale trop présente, un patient qui n’a pas fait sa rééducation linguale chez l’orthophoniste, un traitement non optimal, un patient qui a eu besoin en fin de compte d’une frénectomie…
Toutes ces situations peuvent se produire et souvent les patients ne souhaitent pas remettre un appareil multi-attache, mais veulent quand même faire quelque chose.
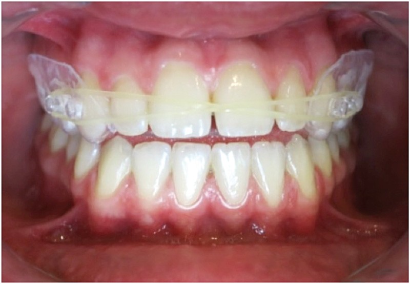
Si dans certains cas, le praticien ne peut pas faire autrement que de remettre un appareil multi-attache, dans d’autres cas, l’utilisation d’une gouttière avec un élastique antérieur est un bon compromis.
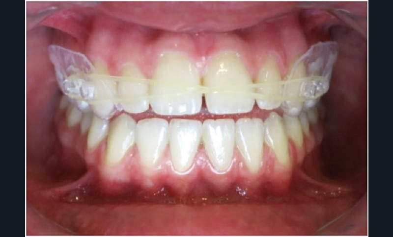
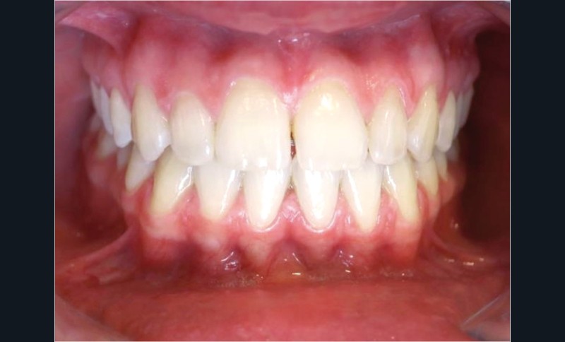
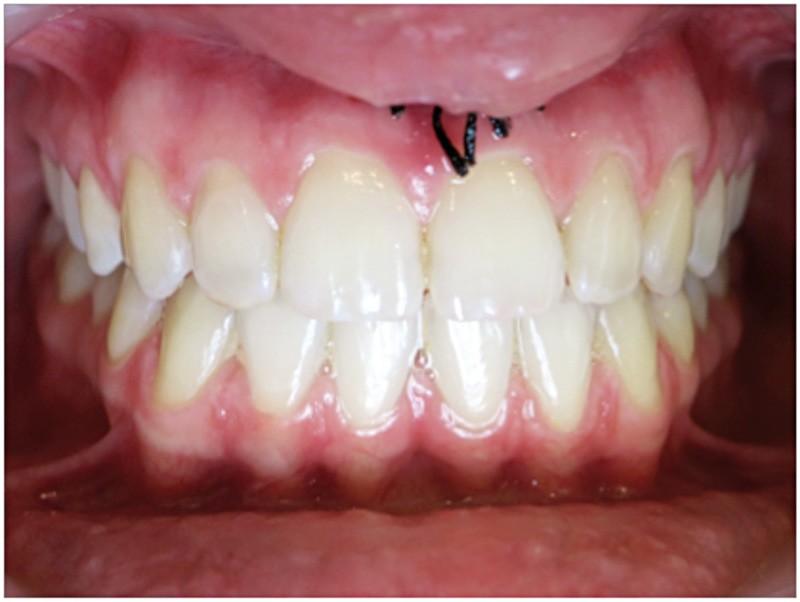
La gouttière transparente avec un élastique (fig. 1), est moins visible, donc mieux acceptée par les patients et son port n’est pas indispensable en permanence. Toutefois, il nécessite une implication du patient : plus il la porte, plus vite le problème sera réglé (fig. 2 et 3).
Sa procédure de réalisation ne diffère pas énormément de celle d’une gouttière de contention normale. Donc il est possible de la fabriquer au sein du cabinet, ce qui limite le temps de fabrication par rapport à une plaque de Hawley et le coût. Nous pouvons également réutiliser la gouttière de contention originale du patient, en la modifiant, si le diastème n’est pas trop important.
Nous utilisons les mêmes plaques thermoformables de 1 mm d’épaisseur pour…


