SMILE CONCEPT Formation multidisciplinaire (endo, paro, implanto, restauration esthétique)
Cet article présente le concept de Régénération Prothétique Guidée (RPG) sur piliers dentaires (fig. 1).
Le diagnostic
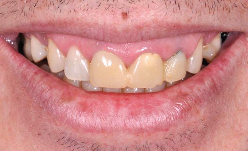
Dans la zone antérieure maxillaire, l’approche esthétique du diagnostic est essentielle (fig. 2a). En effet, la première impression d’un individu est souvent fondée sur ce que l’on perçoit de son visage. Le regard et le sourire constituent les deux pôles attractifs de ce dernier. À distance sociale (et non au fauteuil), ils focalisent toute notre attention et communiquent tous les types d’émotions, verbales et non verbales, de notre interlocuteur. À ce titre, le sourire et le rire représentent la première exposition de l’esthétique dentaire au sein du visage. L’harmonie du sourire est toujours plaisante si l’ensemble des compositions, labiales, dentaires et gingivales, sont agréables au sein du visage des patients.
De nos jours, l’esthétique est une préoccupation permanente et motive une forte demande des patients. La dentisterie esthétique obéit à deux objectifs [3] :
– créer des dents aux proportions agréables ;
– créer un agencement dentaire en harmonie avec la gencive, les lèvres et le visage du patient.
De nombreuses circonstances nuisent à l’harmonie dento-gingivale des arcades dentaires lors du sourire et représentent un véritable défi esthétique (fig. 2a).
Dans un premier temps, sur la base d’un examen clinique et radiologique (fig. 2b), de modèles d’étude (si nécessaire montés sur simulateur), la conservation de piliers dentaires futurs, pulpés ou dépulpés, partiels ou périphériques, est évaluée, avec l’assistance possible de thérapeutiques orthodontiques et parodontales, avant le recours à des piliers implantaires.
Dans un deuxième temps, les références esthétiques du visage guident l’analyse faciale. La référence horizontale est la Ligne Bi-pupillaire (LB)…


