Cette présentation a pour principal objectif l’utilisation d’un procédé faisant appel à un matériau nouvellement utilisé en prothèse dentaire. Nous exposerons rapidement la réhabilitation maxillaire, élaborée selon des techniques classiques, et nous nous attarderons sur le matériau Pekkton® Ivory, sélectionné pour la restauration de l’arcade mandibulaire.
CONSULTATION INITIALE
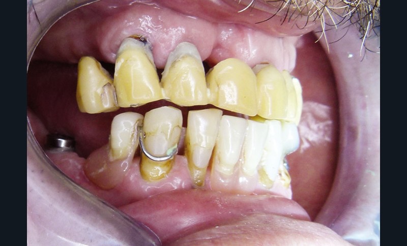
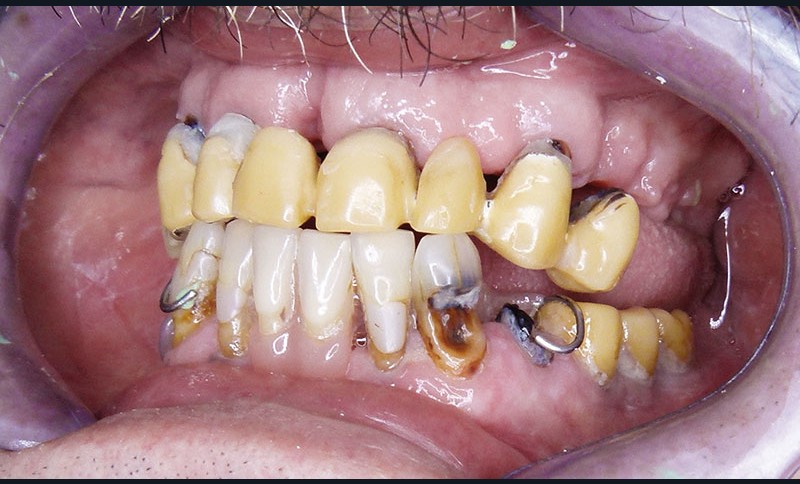
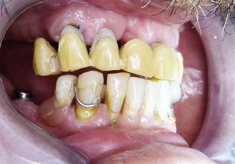
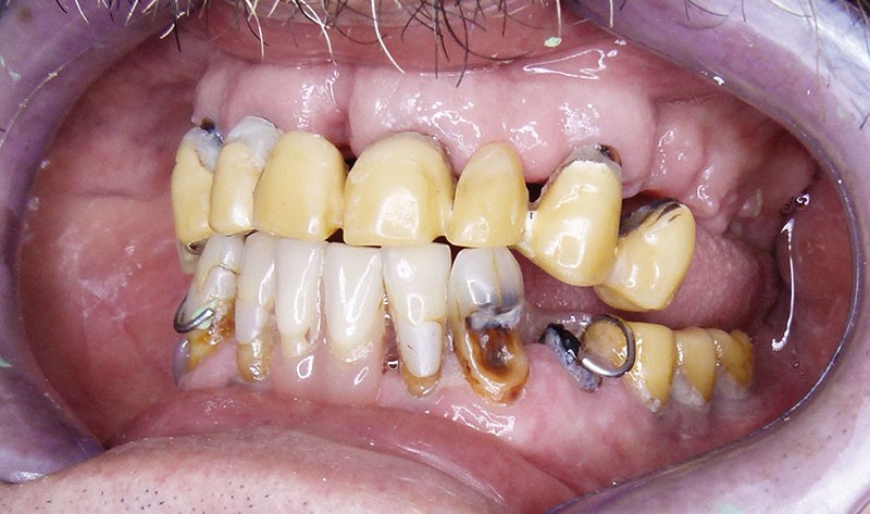
Monsieur L… se présente en décembre 2012 pour une demande de réhabilitation complète de sa cavité buccale. Il est âgé de 65 ans. Il présente un bon état de santé générale, sans pathologie restrictive. En revanche, son état bucco-dentaire est pour le moins problématique … Il est porteur de prothèses provisoires qui se sont délitées avec le temps. Plusieurs implants ont été mis en place auparavant, à la mandibule. Les restaurations d’usage n’avaient jamais été réalisées … (fig. 1 et 2).
PLAN DE TRAITEMENT
1) Nous avons prévu, après observation clinique, les réalisations suivantes :
• Maxillaire : suppression des dents résiduelles, mise en place de six implants avec mise en charge immédiate par un bridge provisoire et prothèse d’usage transvissée sur pilotis (type P. Malo).
• Mandibule : assainissement parodontal et traitements endodontiques des dents conservables.
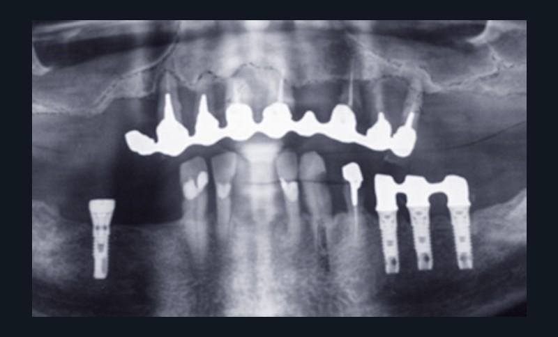
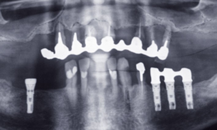
2) Devant l’urgence du problème, le traitement est initié au maxillaire. Le patient, ne désirant pas de chirurgie par comblement sous sinusien, six implants Cortex® (Co Mua) sont mis en place, dont un Saturn en position 21 et cinq Dynamix en situation 12, 14, 16 (angulé à 30°) et en situation 23 et 25 (angulé à 30°).
Des piliers multiunit Cortex® (Co Mua) sont vissés sur les implants, et l’ensemble est mis en charge immédiate par un bridge provisoire en résine acrylique renforcé au composite (fig. 3).
[gallery link= »file » columns= »1″…



