Réhabilitation d’un patient “gueule cassée”

  • Par
  • Publié le . Paru dans Stratégie Prothétique n°5 - 30 novembre 2017 (page 345-350)
Information dentaire
Comment prendre en charge un patient polytraumatisé ?
Quel est le protocole envisagé par une équipe pluridisciplinaire ?
Comment mettre en œuvre les séquences prothétiques du traitement ?

Aspects prothétiques de la mise en charge immédiate sur implants zygomatiques maxillaires et para symphysaires mandibulaires

Nous nous proposons de décrire la restauration d’un cas clinique particulier, victime d’un traumatisme dento-maxillo-facial important. Nous insisterons sur l’aspect pluridisciplinaire de la prise en charge et nous développerons le volet prothétique de la réhabilitation.

Présentation du cas, anamnèse

Monsieur M., âgé de 79 ans, fut victime de nombreuses blessures de guerre en 1961, au cours de son service militaire en Algérie. Il a notamment été blessé par balle. Le projectile a pénétré dans la zone sous mentonnière droite, pour ressortir sous l’orbite du côté gauche.
En 1968, les conséquences du traumatisme étaient les suivantes :
– défiguration de la face,
– destruction de la pyramide nasale,
– diplopie,
– amblyopie de l’œil gauche,
– destruction de la voûte palatine,
– anesthésie de l’hémiface gauche,
– cicatrice de trachéotomie.
De multiples interventions chirurgicales ont été nécessaires pour reconstruire les maxillaires (greffes osseuses et des tissus mous), et permettre la réalisation de prothèses amovibles complètes conventionnelles. Ces dernières, bien que réalisées selon les règles de l’art, étaient instables et ne permettaient pas au patient d’espérer un niveau de vie satisfaisant.

Observation clinique

Lorsque le patient s’est présenté à la consultation en 2015, les examens cliniques et radiologiques relevaient :
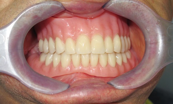
examen exo buccal : l’observation de la face montre une dissymétrie de l’étage inférieur. La dimension verticale d’occlusion semble sous estimée (fig. 1a)
examen intrabuccal :
• maxillaire : nous constatons l’absence totale d’os maxillaire du côté gauche et au niveau antérieur, ainsi que la présence d’une petite zone osseuse du côté droit (au niveau 15-16-17), sous sinus, incompatible avec la mise en place d’implants sans comblement osseux préalable. Les tissus de revêtement sont bien cicatrisés. Cependant, ils présentent une épaisseur très importante et sont donc…

Cet article est réservé aux abonnés.
Pour lire la suite :

Vous êtes abonné.e ? Connectez-vous
Mot de passe
oublié ?

Vous pouvez également :

Acheter l'article En version numérique
Acheter le numéro À l'unité

Thèmes abordés