Nos traitements doivent réunir plusieurs critères, à savoir :
– des critères esthétiques correspondants à une demande et à une attente grandissante des patients ;
– des critères fonctionnels, pour une longévité des restaurations et le confort du patient ;
– des critères biologiques : l’objectif étant de ne pas mutiler les tissus sains ;
– des critères de prévisibilité : les patients souhaitent “voir” le résultat final (au moins une simulation) avant de commencer le traitement.
Pour répondre à ces critères, le plan de traitement est établi selon la chronologie suivante :
1. Écoute du patient pour une prise en considération de ses souhaits, désirs, besoins.
2. Construction du design du futur sourire.
3. Analyse de la fonction et de l’occlusion.
4. Évaluation de l’ensemble des dents supports.
5. Mesure de la biologie, du parodonte.
Ensuite, une proposition thérapeutique est faite au patient. Cette proposition comprendra les objectifs finaux à atteindre, mais aussi la chronologie du traitement et sa durée. Contrairement aux étapes de réflexion, cliniquement, la biologie sera traitée en premier lieu (parodonte, chirurgie reconstructrice, etc.), puis les dents supports associées aux changements occlusaux, et enfin l’esthétique sera finalisée.
Nous nous proposons d’étudier la coordination de l’ensemble de ces étapes alliant esthétique et fonction à travers un cas clinique.
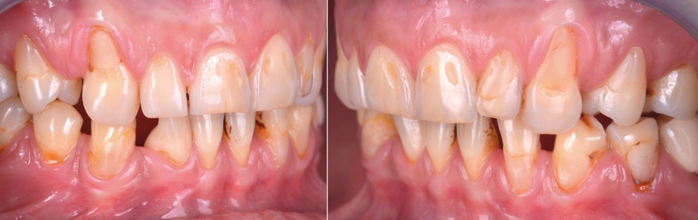
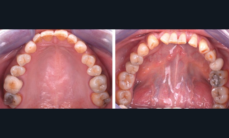
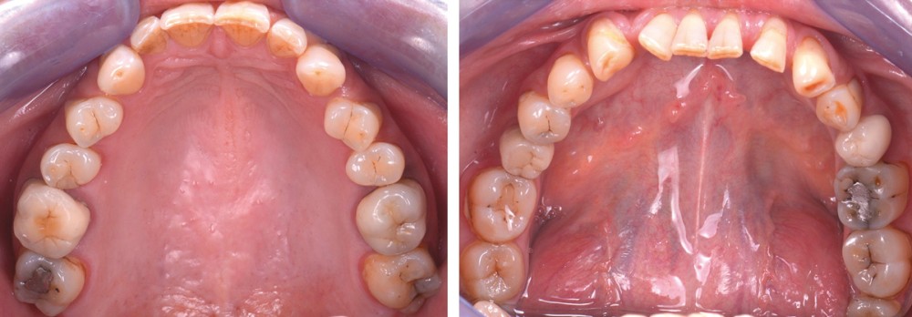
La patiente et ses souhaits (fig. 1 à 3)
La patiente est âgée de 39 ans et se présente au cabinet pour un contrôle. Toutefois, lors de l’entretien au bureau, elle reconnaît être complexée par son sourire depuis des années et trouve ses dents « de moins en moins belles ». Une consultation à visée esthétique et fonctionnelle lui est proposée en premier lieu afin d’étudier les améliorations…


