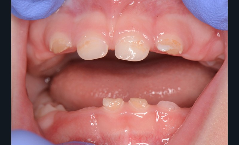
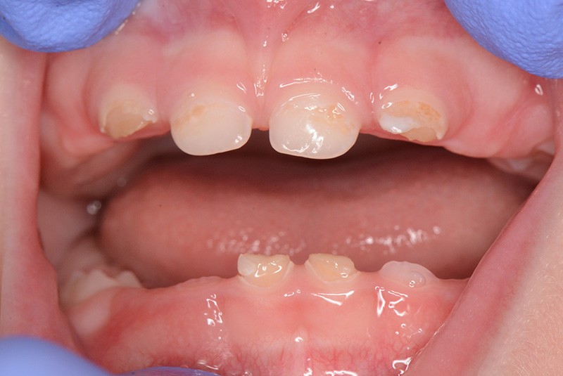
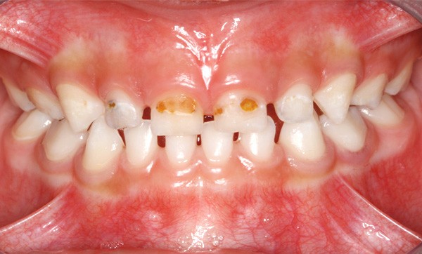
En France, la carie de la petite enfance (CPE) est souvent négligée chez l’enfant en denture temporaire, 24 % des dents temporaires affectées par des lésions carieuses cavitaires n’étant pas traitées, alors que la prévalence mondiale atteint 8,8 % [1]. Les enfants affectés ne sont souvent amenés en consultation que dans les cas sévères (tableau 1) lorsque les lésions nécessitent des réhabilitations prothétiques à envisager après correction du risque carieux (fig. 1).
Évaluation du risque carieux
Celle-ci doit être de règle pour mettre en place une éducation adaptée indispensable à la pérennité des traitements personnalisés indiqués et à la prévention de nouvelles lésions carieuses. Sont classiquement recherchés : le sucre ajouté aux biberons, les aliments et boissons consommés quotidiennement, une médiocre hygiène orale ne contrôlant pas la plaque dentaire, des déterminants familiaux, sociaux et une susceptibilité génétique. Récemment, quelques caractéristiques ont été mises en évidence ou précisées : l’intérêt d’un dosage salivaire des Streptococcus mutans, en particulier avant l’éruption des premières dents, dans la mesure où une personne de l’entourage de l’enfant s’occupant régulièrement de lui a elle-même un risque carieux élevé. Parmi les habitudes alimentaires longtemps discutées, l’allaitement prolongé au-delà de 18 mois augmente le risque de 2,4 alors qu’avant 12 mois, il le diminue. De même, la non-utilisation biquotidienne de dentifrice fluoré est désormais un facteur de risque de la CPE, alors qu’elle était auparavant associée à un facteur protecteur de la fluorose [2-4].
Réhabilitations prothétiques unitaires
Couronnes pédiatriques préformées métalliques
Les couronnes pédiatriques préformées métalliques (CPPm) sont recommandées dès que la lésion carieuse…

