Les courriers et/ ou courriels
Que ce soit l’orthodontiste qui adresse le patient au parodontiste ou l’inverse, il est évidemment essentiel de commencer par un échange entre les praticiens, que l’assistant(e) va pouvoir classer et qui permettra d’établir l’historique du patient, le diagnostic posé par le praticien qui l’a reçu et la demande d’éventuels examens complémentaires ou leur transmission.
Tout au long des traitements parodontaux et orthodontiques, un échange constant de courriers se fait pour évaluer les résultats obtenus par les séquences de traitement, les zones à risque à surveiller, l’évolution, mais également la chronologie nécessaire.
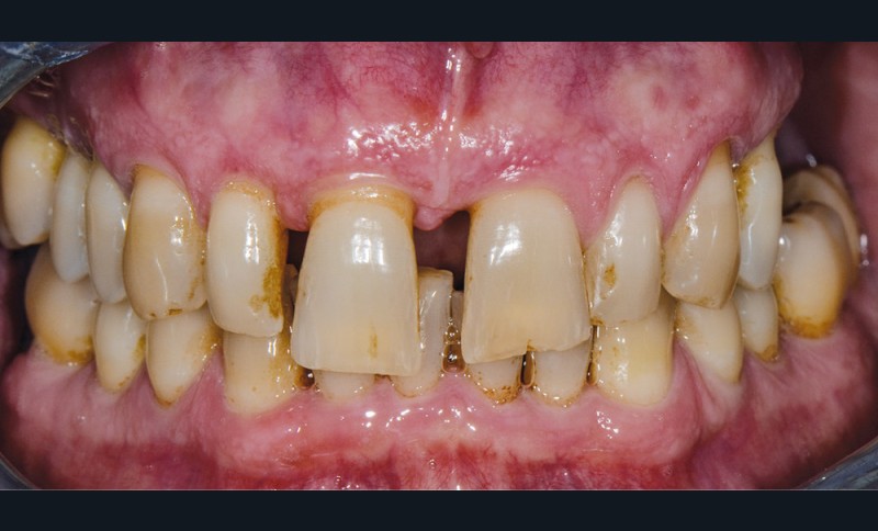
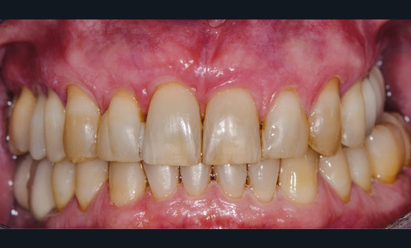
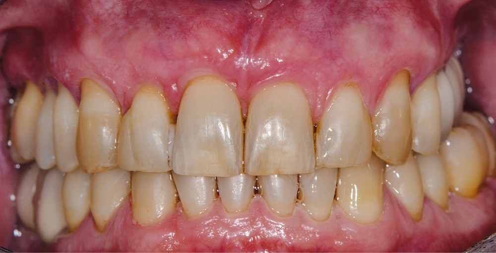
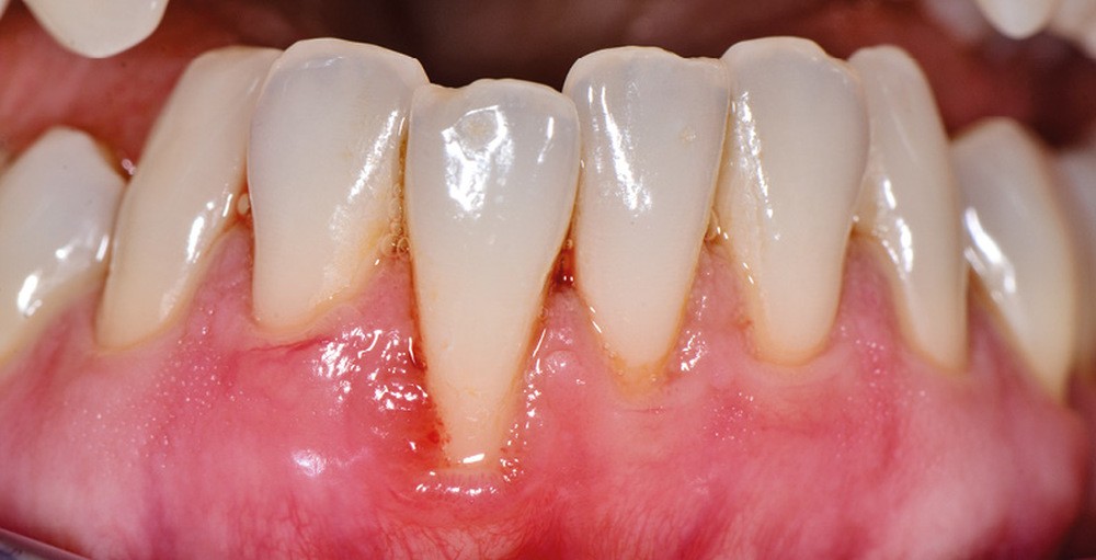
Ainsi, lorsqu’un patient arrive avec une maladie parodontale, celle-ci doit d’abord être traitée, que ce soit par un traitement non chirurgical ou chirurgical, stabilisée (afin que le parodontiste puisse donner son « feu vert » à l’équipe orthodontique), et que les déplacements dentaires commencent dans un parodonte sain et stabilisé (fig. 1 et 2).
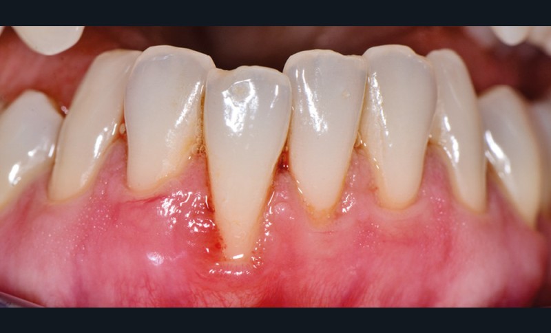
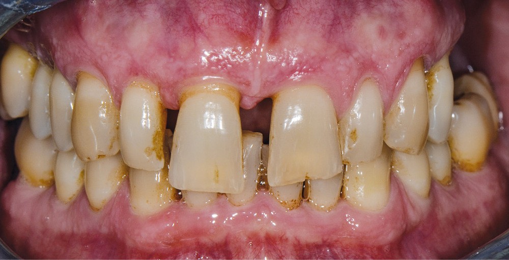
De même, lorsque l’orthodontiste prévoit des déplacements dentaires chez un patient, il va préciser le type de déplacement et éventuellement la technique pour que le parodontiste puisse établir une chronologie, notamment lorsqu’il s’agit d’un biotype parodontal fin avec des risques potentiels de récession en cas de mouvement d’expansion ou de rotation en particulier (fig. 3).
L’assistant(e) doit donc vérifier l’envoi régulier de ces courriers à chaque étape et faciliter leur classement, afin qu’il puisse y avoir un suivi en temps par temps et que les « feux verts » soient validés pour chaque équipe au bon moment.
Les radiographies
L’examen radiographique est indispensable, que ce soit en parodontie, sous forme d’un bilan long cône et/ou d’une panoramique, ou pour l’orthodontiste, avec d’autres examens complémentaires. Ils font partie de la…


