Relevé instrumental de la couleur : quand et comment ?

  • Par
  • Publié le . Paru dans L'Information Dentaire n°2 - 15 avril 2023 (page 8-19)
Information dentaire
– La méthode visuelle est-elle encore d’actualité pour le relevé de la couleur ?
– Pourquoi faire appel à des techniques instrumentales pendant le relevé de la couleur ?
– Quels sont les nouveaux systèmes permettant l’enregistrement de la couleur ?
– Comment améliorer sa pratique avec le relevé instrumental de la couleur ?

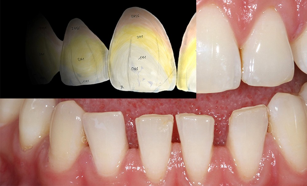
L’organe dentaire, avec sa complexité tissulaire et la singularité de sa micro et macro-géographie, est situé dans un milieu hétérogène. L’interaction de la lumière avec l’émail, la dentine, le parodonte, les lèvres, mais aussi avec l’obscurité intra-orale rend difficile la compréhension, la transmission et la reproduction de la couleur dentaire.

Or, le challenge du chirurgien-dentiste réalisant une restauration directe ou indirecte est d’obtenir une reproduction fidèle de la couleur naturelle des dents du patient. En effet, la couleur reste une des raisons principales de consultation mais aussi de mécontentement chez les patients [1].

Des instruments spécifiques : spectrophotomètres, colorimètres et caméras intra-orales, ou encore des protocoles photographiques rigoureux sont aujourd’hui proposés pour aider le praticien dans ce relevé de la couleur. Cet article se propose de préciser quand et comment les utiliser.

Réaliser le relevé de couleur

Le relevé de la couleur est parfois appelé « prise de teinte » par abus de langage. En effet, la couleur se compose de trois dimensions principales : la luminosité, la saturation et la teinte. Se rajoutent les dimensions supplémentaires : la translucidité, l’opalescence, la fluorescence et les caractérisations avec l’état de surface (micro et macro-géographie). De ce fait, la « prise de teinte » limiterait le relevé à une seule dimension de la couleur.

Une multitude de techniques de relevé de la couleur sont disponibles aujourd’hui. Ces techniques peuvent être classées selon les moyens utilisés. Ainsi sont distingués : le relevé visuel, réalisé à l’aide des teintiers, et le relevé instrumental [3, 9].

La couleur doit être interprétée et analysée par le praticien à des nombreuses étapes :

  • lors de la planification du traitement, pour comprendre les techniques à mettre en œuvre,
  • lors de la réalisation d’un éclaircissement, afin d’accompagner…

Cet article est réservé aux abonnés.
Pour lire la suite :

Vous êtes abonné.e ? Connectez-vous
Mot de passe
oublié ?

Vous pouvez également :

Acheter l'article En version numérique
Acheter le numéro À l'unité

Thèmes abordés