Un patient de 31 ans se présente dans l’Unité Fonctionnelle de Parodontologie de la Timone (APHM) pour des hyperesthésies radiculaires invalidantes. En outre, il souffre d’un complexe dû à la longueur de ses dents. Son état de santé général est satisfaisant, il ne fume plus depuis quelques mois et fait des contrôles annuels réguliers chez son chirurgien-dentiste à la suite d’un traitement orthodontique.
Il nous appartient alors d’analyser le parodonte, son intégration au sein de l’esthétique globale du visage et les causes de ces hyperesthésies pour pouvoir poser un diagnostic précis et proposer un ou des traitements.
Évaluation du cas clinique
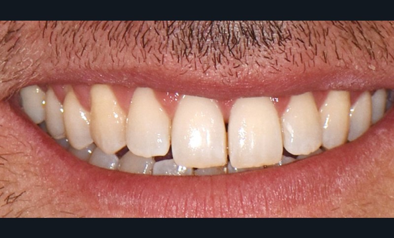
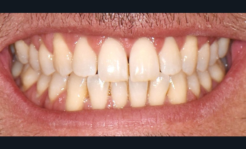
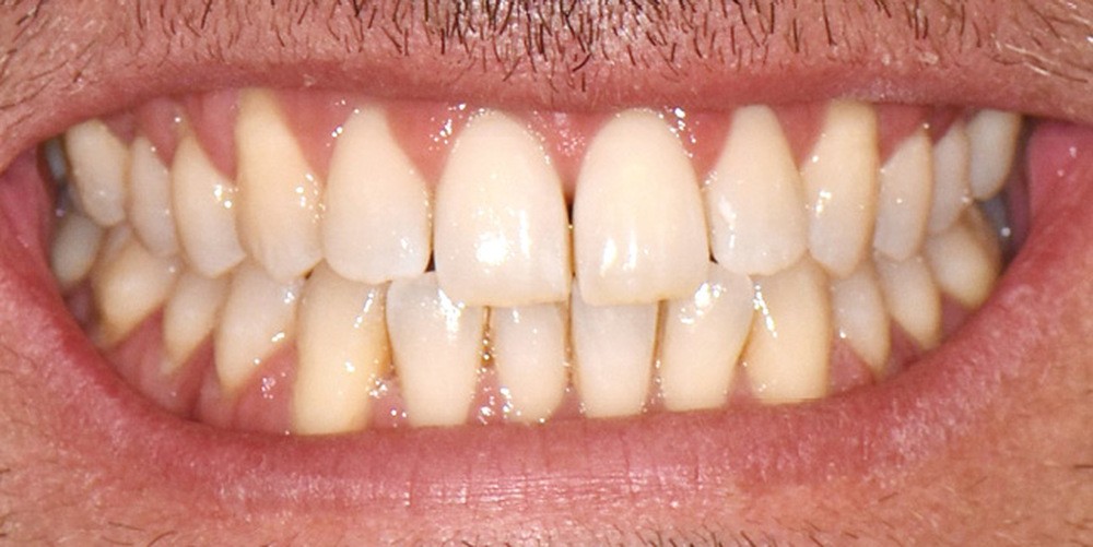
Lors de l’examen extraoral, l’étude du sourire est essentielle dans la prise en charge des patients, surtout dans le cas d’une gêne esthétique. Chez ce patient, la ligne du sourire (fig. 1a-c) est moyenne [1], de classe 3 de Parodontia [2] au cours du sourire naturel. Cependant, le sourire forcé (ou l’éclat de rire) découvre les récessions et un bandeau de gencive continu au niveau du secteur prémolo-molaire. L’asymétrie labiale [3], elle, est bien acceptée par le patient.
Un Smile Esthetic Index est réalisé. Le patient obtient un score de 5/10. Son sourire est asymétrique et la forme et la dyschromie des racines sont visibles en raison des récessions sur tous les secteurs [34].
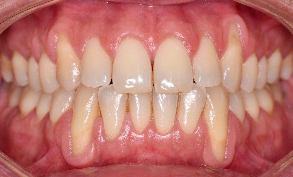
L’examen intra-oral est minutieux afin d’écarter les autres pathologies pouvant induire des sensibilités dentinaires. Le test de sensibilité [4] révèle que le positionnement d’une seringue d’air, perpendiculairement à la surface dentaire, à une distance de 1 cm, est douloureux.
Le parodonte marginal (fig. 2) est fin et festonné [5], de type IV selon la classification de Maynard et Wilson [6]. Il présente une gencive fine et un os fin. La gencive est rose et piquetée, d’indice gingival 0 indiquant…


