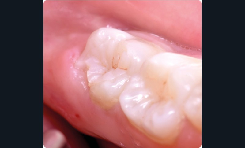
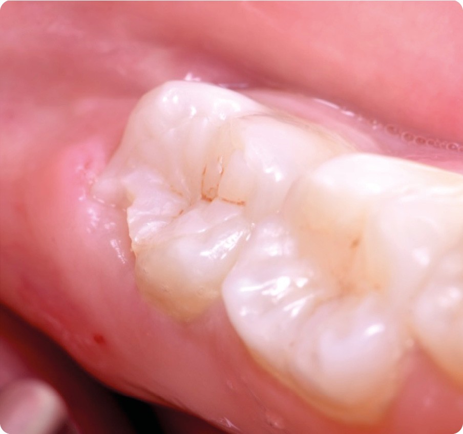
Cette dent a été traitée trois ans plus tôt avec une thérapeutique de maintien de la vitalité pulpaire (VPT) (proximité pulpaire+++) et un composite direct (excellemment bien réalisé par un éminent professeur universitaire).
Ce traitement a été un succès car la dent symptomatique à l’époque ne l’est plus, il n’y a pas d’image apicale et le test au froid est positif… Que faire ? J’ai choisi d’intervenir a minima en ne faisant que réparer. Si cela ne fonctionne pas, nous passerons à l’onlay.
Réparer vs remplacer
– Fracture cuspide disto‑linguale 37
– Test au froid positif
– Restauration à proximité pulpaire réalisée 3 ans au préalable par un enseignant en dentisterie restauratrice.
Réparer plutôt que remplacer
– Même longévité
– Plus rapide
– Plus simple
– Moins coûteux
– Moins stressant (donc mieux accepté par le patient)
– Moins de risques iatrogènes
– Préservation tissulaire majorée
– Traumatisme pulpaire minoré
– Moins, voire pas de besoin d’anesthésie locale
– Moins de douleurs per et post-op










