Résorptions radiculaires des dents adjacentes aux canines maxillaires incluses constatées avant tout traitement orthodontique chez l’enfant ou l’adolescent

  • Par
  • Publié le . Paru dans L'Orthodontiste n°5 - 15 décembre 2018 (page 51-59)
Information dentaire
Chaque année, pour la fin de leurs études, les internes en DES d’ODF soutiennent un mémoire de recherche clinique. Leurs sujets et leurs formes sont extrêmement variés : études épidémiologiques, évaluations des pratiques professionnelles, analyses critiques ou comparaisons de procédures thérapeutiques, études expérimentales en biomatériaux ou en physiologie… Ces travaux très intéressants contribuent à faire avancer notre discipline et à construire l’orthodontie de demain. Malheureusement, ils restent trop souvent confidentiels au sein de nos universités. La revue L’Orthodontiste a souhaité vous les faire découvrir, un peu à la manière d’une revue de presse, en publiant leur résumé. Si vous souhaitez des informations complémentaires sur un sujet, n’hésitez pas à contacter l’auteur via notre rédaction. Nous vous proposons aujourd’hui quatre premiers mémoires et, comme nous, vous pourrez constater que nos DES ont du talent.

Introduction

Les résorptions radiculaires des dents adjacentes causées par les canines maxillaires incluses sont fréquentes, mais la prévalence de ce phénomène dans un échantillon d’enfants et d’adolescents avant tout traitement orthodontique demeure inconnue. Le but de cette étude rétrospective était d’évaluer la prévalence de cette complication dans cette population particulière, ainsi que d’identifier d’éventuels facteurs de risque.

Matériels et méthodes

60 enfants et adolescents (âge moyen 12,2 ans ; écart-type 1,9 an ; intervalle 8-17 ans) présentant 83 canines maxillaires incluses, sans antécédent ni en cours de traitement orthodontique, ont été inclus dans cette étude.
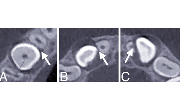
La présence de résorptions radiculaires a été évaluée à l’aide de clichés issus d’un même appareil de tomographie volumique à faisceau conique (CBCT) (fig. 1), et d’éventuels facteurs prédictifs ont été relevés sur ces mêmes images, ainsi que sur les reconstructions curvilignes à partir des données 3D. L’échantillon a été caractérisé à l’aide de statistiques descriptives et des régressions logistiques multiples ont été entreprises afin de prédire les lésions résorptives.

Résultats

56 canines (67,5 %) étaient à l’origine de résorptions radiculaires dans cet échantillon, touchant 44 des incisives latérales (55,7 %), 7 incisives centrales (8,4 %) et 16 premières prémolaires (19,5 %). 71,7 % de ces résorptions étaient légères. L’existence d’un contact entre la canine et la racine adjacente a constitué le seul facteur de risque statistiquement significatif, toutes dents confondues (OR = 18,7 ; intervalle de confiance à 95 % : 2,26 – 756 ; p < 0,01).

Conclusion

Cette étude vient confirmer d’autres travaux antérieurs. Le diagnostic positif des résorptions légères s’avère toutefois délicat, en raison des limites de résolution spatiale des tomographies volumiques à faisceau conique…

Cet article est réservé aux abonnés.
Pour lire la suite :

Vous êtes abonné.e ? Connectez-vous
Mot de passe
oublié ?

Vous pouvez également :

Acheter le numéro À l'unité