L’arrivée de céramiques vitreuses renforcées au disilicate de lithium (IPS e.max, Ivoclar Vivadent) a permis d’allier résistance mécanique, aptitude au collage et translucidité. Cela nous permet dans certaines situations de se passer d’armature opaque (métallique ou polycristalline) difficile à intégrer esthétiquement.
EXAMEN CLINIQUE
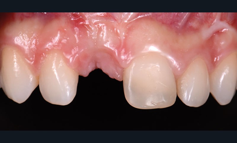
Suite à un accident de la voie publique Mlle B. (15 ans, bonne santé générale) perd la 11 ainsi que sa corticale vestibulaire et présente une fracture amélo-dentinaire avec une large exposition pulpaire sur 21 (fig. 1a). Elle est prise en charge en urgence au sein de l’hôpital Charles Foix à Ivry. La pulpectomie sur 21 est indiquée et réalisée. La doléance esthétique est gérée par la réalisation d’une restauration en composite sur 21 et une gouttière thermoformée incluant 11 est remise à la patiente (fig. 1b).
DISCUSSION
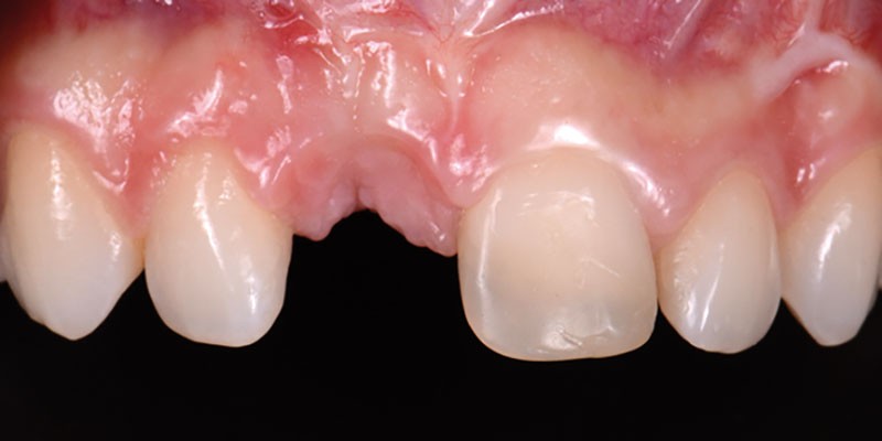
La dentisterie adhésive permet d’envisager des thérapeutiques plus conservatrices que les restaurations scellées qui imposent une rétention mécanique et une géométrie souvent acquises aux dépens des tissus sains. La prise en charge d’une patiente aussi jeune doit faire la part belle à la préservation tissulaire afin de limiter les difficultés lors d’inévitables réinterventions. L’examen commence donc par l’évaluation des structures à remplacer (fig. 2a, b) mais surtout par l’analyse du potentiel des structures résiduelles.
Il nous reste du tissu osseux en palatin et proximal pour guider la régénération osseuse et gingivale au niveau de 11 (chirurgie : Philippe Doucet, Charles Foix, Ivry). Il nous reste également le tiers cervical de 21 (fracture en biseau qui descend côté palatin) avec sa ceinture d’émail périphérique. Cette zone qui concentre les contraintes subies par la dent est capitale d’un point de vue biomécanique [1, 2]. C’est à…


