Lorsque l’usure dentaire entraîne des conséquences biologiques et/ou au niveau de la fonction et de l’esthétique, il nous est possible aujourd’hui, grâce aux progrès des matériaux et à la dentisterie adhésive, de proposer des traitements alternatifs aux techniques traditionnelles, extrêmement mutilantes, coûteuses et peu tolérantes [2]. Ces traitements adhésifs présentent un recul clinique satisfaisant pour être utilisés de manière sereine dans notre pratique quotidienne.
La « 3-step technique », proposée par Francesca Vailati, est extrêmement documentée et éprouvée [3-6]. Elle consiste en :
- la validation de l’esthétique et de l’occlusion par mock-up ;
- la création d’une nouvelle occlusion postérieure avec augmentation de DVO ;
- le rétablissement de la guidance antérieure et de l’esthétique avec une technique sandwich : onlays palatins en composite et facettes vestibulaires en céramique.
Nous proposons de pousser encore plus loin la préservation tissulaire dans les cas où l’esthétique n’est pas le motif premier du patient, en utilisant les onlays palatins comme support de stratification antérieure, et de l’illustrer à travers un cas clinique.
Cas clinique
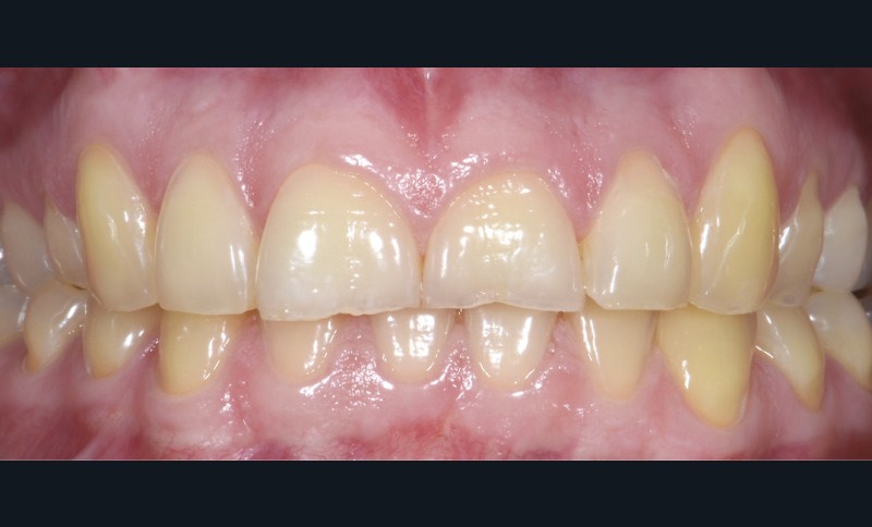
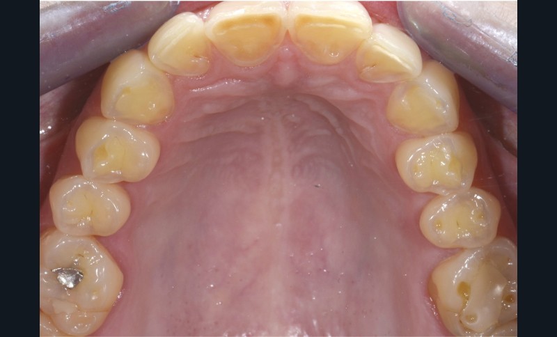
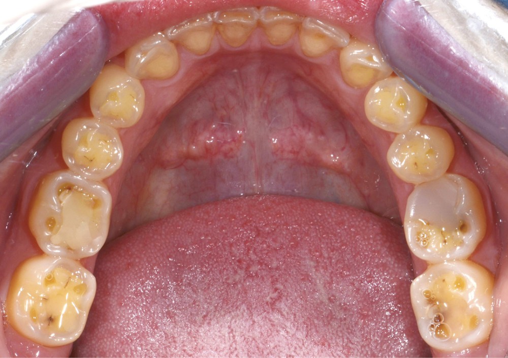
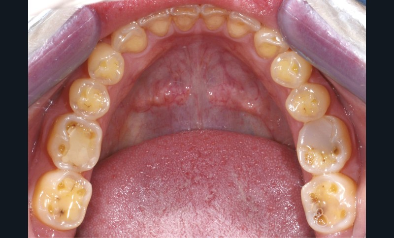
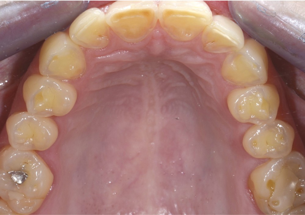
Une patiente âgée de 28 ans se présente en consultation avec une inquiétude au sujet de ses dents postérieures : elle a observé une usure avec un « jaunissement » des faces occlusales et se plaint de sensibilités répétées (fig. 1 à 3).
L’examen général met en évidence un bruxisme nocturne ainsi qu’une consommation peut-être excessive d’agrumes.
Les traitements qui ont été envisagés jusqu’à présent consistaient soit dans le port simple d’une gouttière nocturne, soit dans la réalisation de restaurations périphériques accompagnées de traitements endodontiques.
Après les conseils alimentaires, nous lui proposons un traitement adhésif sans…


