Restauration du sourire chez l’édenté partiel : à propos d’un cas clinique

  • Par
  • Publié le . Paru dans Stratégie Prothétique n°4 - 30 septembre 2014 (page 235-242)
Information dentaire
Comment envisager le projet prothétique ?
Quelles sont les étapes de réalisation de la prothèse ?

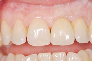
L’édentement partiel antérieur constitue fréquemment un challenge pour le praticien et le laboratoire tant les implications esthétiques et fonctionnelles sont importantes.
Une analyse minutieuse non seulement statique, mais aussi dynamique lors de la phonation notamment, est primordiale : position des lèvres, visibilité des collets, longueur des dents.
Naturellement, en présence de données dentaires adjacentes satisfaisantes, il s’agit d’intégrer nos restaurations par mimétisme et non de créer quoi que ce soit.
Un biomimétisme réussi se conçoit par les dents, leurs formes et leur couleur, leur état de surface et leurs caractérisations (White esthetic score), mais aussi par l’environnement gingival : papilles, alignement des collets, etc. (Pink esthetic score, Belser).
Les solutions prothétiques sont variées pour ce type de situation ; nous proposons de décrire une situation clinique traitée par des implants avec mise en fonction esthétique immédiate.

PRÉSENTATION DU CAS CLINIQUE

Mme G., âgée de 42 ans consulte au cabinet dentaire pour un bilan et un contrôle de sa prothèse amovible partielle à infrastructure métallique.
Cette dernière remplace les dents 21 et 22 perdues à la suite d’importants granulomes survenus après un accident de voiture avec choc de la face bien des années auparavant.
L’anamnèse précise que les incisives ont dû être extraites il y a une vingtaine d’années et que la perte osseuse consécutive est importante, malgré un aspect clinique avec une crête qui semble très satisfaisante en épaisseur et surtout en hauteur.
Plusieurs tentatives de comblements ou greffes ont échoué par le passé : biocorail, autogreffe avec prélèvement tibial.
La patiente est donc réticente lorsque nous lui proposons de supprimer sa prothèse et de réaliser des implants après aménagement osseux du site receveur.
Une radiographie panoramique confirme une importante lésion transfixante en 22, qui forme un trou entre…

Cet article est réservé aux abonnés.
Pour lire la suite :

Vous êtes abonné.e ? Connectez-vous
Mot de passe
oublié ?

Vous pouvez également :

Acheter l'article En version numérique
Acheter le numéro À l'unité

Thèmes abordés