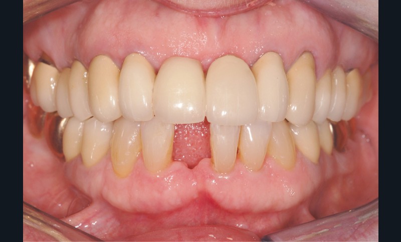
Le cas clinique présenté dans cet article traite de la gestion d’un édentement mandibulaire dans le secteur antérieur, survenu après un accident de la voie publique ayant entraîné une aggravation d’une lésion parodontale existante (fig. 1). Cette pathologie a nécessité l’extraction de la dent qui avait été traitée huit ans auparavant par une attelle-bridge en zircone, compte tenu de l’impossibilité médicale de mettre en place un implant (fig. 2).
Examen clinique
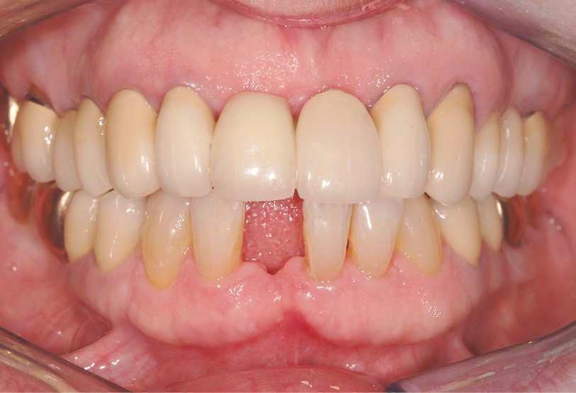
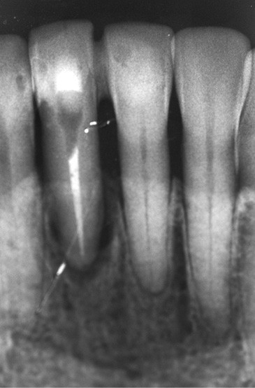
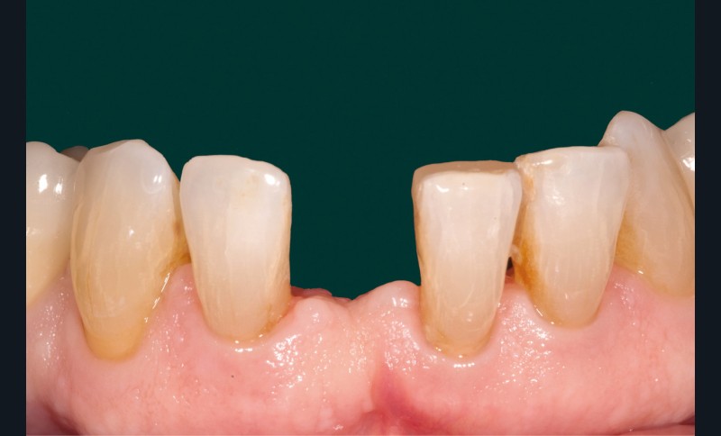
La patiente est venue consulter à la suite du descellement de la pièce zircone qui, agissant comme une attelle de contention, subissait des contraintes de torsion importantes. Malgré plusieurs tentatives infructueuses de remise en place (fig. 3), nous avons proposé à la patiente, compte tenu des rapports occlusaux favorables, de réaliser un bridge cantilever en disilicate de lithium (IPS e.max, Ivoclar Vivadent) plus apte au collage [1]. Cette thérapeutique est un choix biologique et biomécanique séduisant, validé par la littérature scientifiquement [2].
Discussion
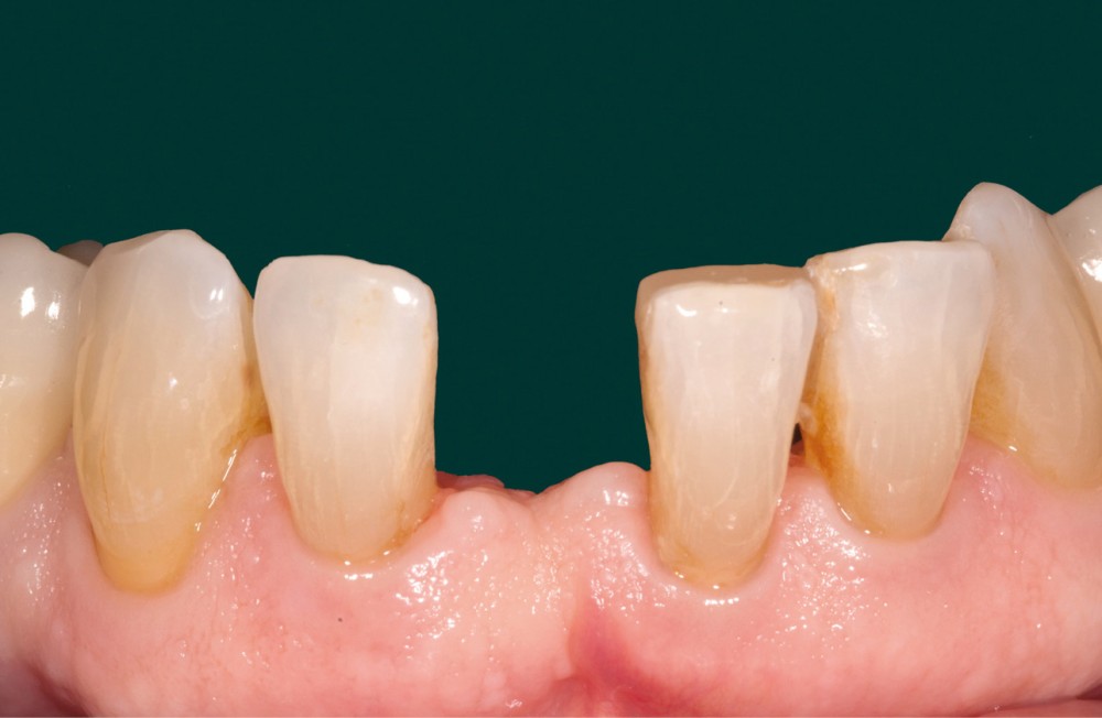
À l‘époque de la réalisation de l’attelle, le choix du matériau se faisait entre le métal et la zircone. Les inconvénients majeurs de ces deux matériaux résident dans la complexité du protocole de collage [3] d’une part, et dans le manque de fiabilité à long terme de ce dernier, d’autre part (fig. 4).
S’ajoutent à cela des difficultés de repositionnement en cas d’échec du collage initial.
Aujourd’hui…



