1er lauréat 2018 du Grand Prix RC/GC 2018
Matériels et méthodes
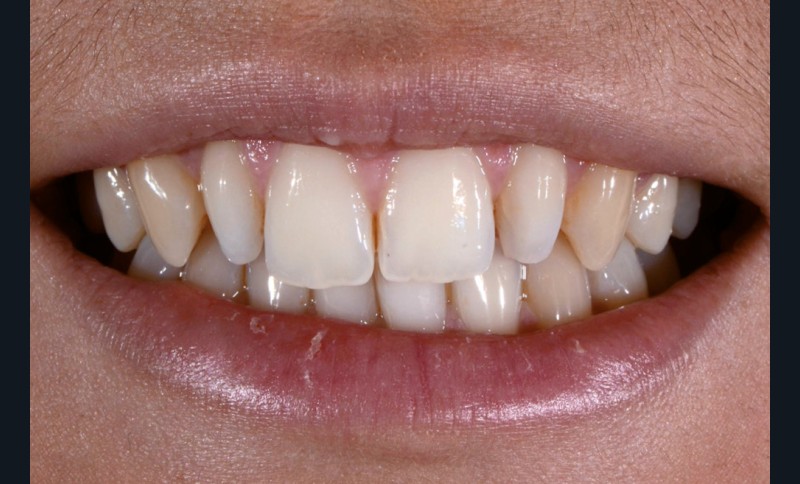
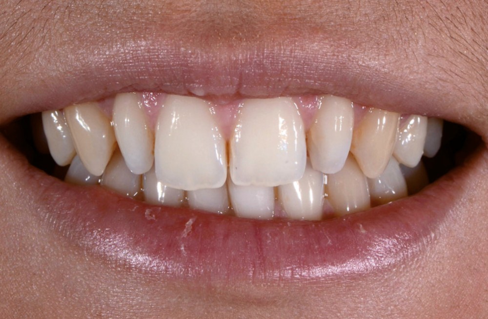
Une patiente de 24 ans a été reçue en consultation au CHU de Bordeaux, se plaignant de son sourire, en particulier de ses incisives latérales maxillaires riziformes (fig. 1 et 2). Elle ne présentait aucun antécédent médical ni allergie médicamenteuse.
Après qu’elle nous a exprimé ses doléances, les examens clinique et radiographique ont été effectués. De plus, des photographies ont été réalisées ainsi que des modèles d’étude pour compléter la documentation initiale, et expliquer les différentes solutions thérapeutiques possibles à la patiente.
La patiente étant limitée d’un point de vue financier, la solution de restauration par facettes en céramique a été exclue. Nous avons ainsi décidé de réaliser des facettes directes en composite par technique de stratification, en suivant les concepts de la dentisterie invasive a minima.
Les différentes étapes du plan de traitement ont été divisées en trois séances cliniques :
- la réalisation d’un wax-up ;
- la validation du mock-up en résine bis-acryl, la sélection de la couleur des masses, l’isolation, la préparation des surfaces dentaires ;
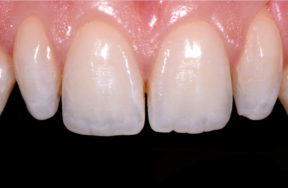
- la restauration par facettes directes en composite Essentia (GC), grâce à la technique de stratification, sans préparation de la dent.
Les restaurations ont ensuite été rigoureusement polies, et des contrôles à une semaine puis à un mois ont été réalisés.
Description
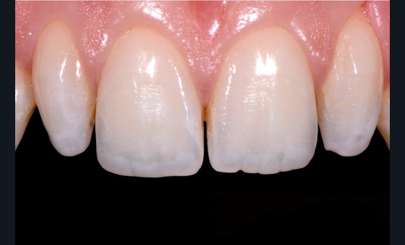
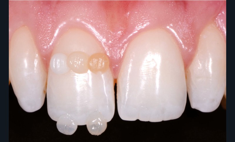
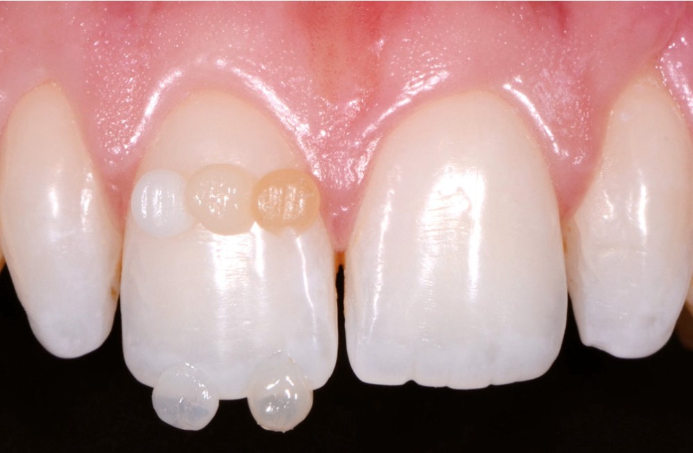
Après réalisation de modèles d’étude, de cires de diagnostic (wax-up) sur 12 et 22, puis validation de la forme en bouche par la technique des masques (mock-up) (fig. 3), le choix de la couleur se fait avant l’isolation pour éviter un biais de sélection occasionné par la déshydratation des dents (fig. 4).
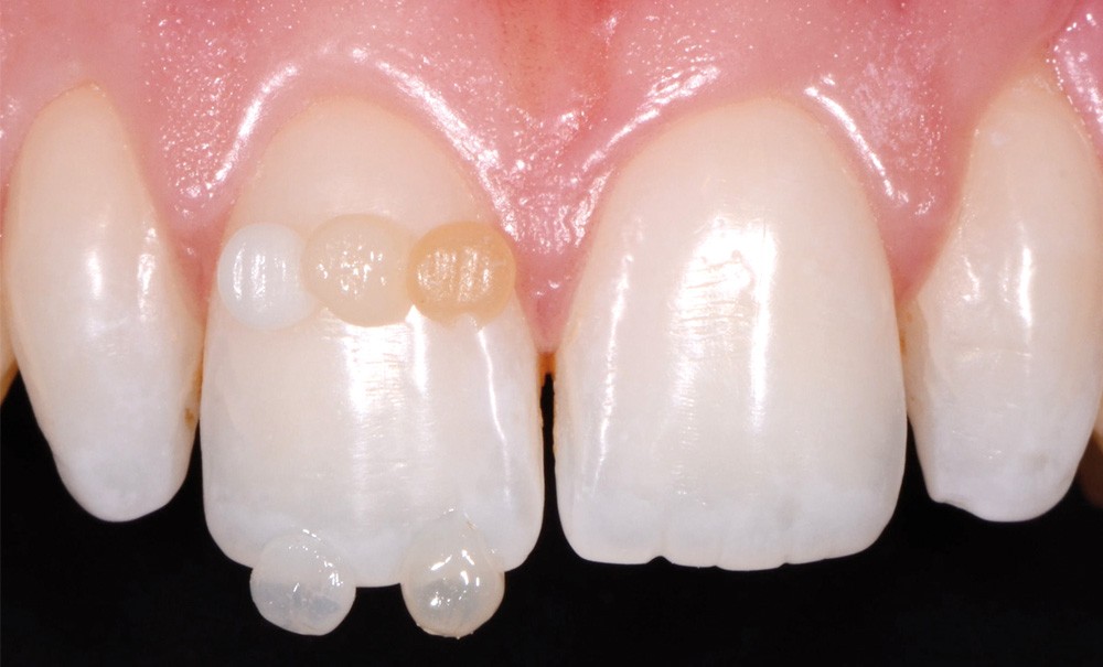
Grâce à la technique des boutons de composite, les teintes Light Enamel et Medium…



