Une question subsiste encore beaucoup dans l’esprit des praticiens : est-il aujourd’hui possible d’envisager la restauration durable d’une incisive centrale avec un composite direct, plutôt qu’avec une céramique collée ? Si nous suivons le gradient thérapeutique [1], il faut opter, selon la taille de la lésion, pour la solution la moins invasive possible. Les résines composites (RC) sont probablement les matériaux les plus utilisés dans un cabinet dentaire. Que ce soit pour des restaurations directes ou indirectes, elles doivent être considérées comme des matériaux « définitifs » avec comme avantage majeur de pouvoir être corrigées et réparées tout au long de la vie du patient. De ce fait, en fonction de la situation clinique, ces matériaux devraient constituer un choix de premier ordre en matière de restauration.
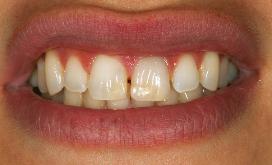
Pour illustrer la prise de décision entre une restauration indirecte en céramique ou directe en résine composite, nous avons choisi une situation clinique dans laquelle une jeune femme consulte pour remplacer deux anciennes restaurations composites trop visibles, sans modifier le diastème présent. Il s’agit des deux angles mésiaux de 11 et 21, reconstitués quelques années auparavant (fig. 1).

Les critères nous orientant sur choix du traitement sont les suivants :
- L’âge de la patiente : 26 ans.
- L’absence de sensibilités sur ses incisives centrales maxillaires avec un test de sensibilité thermique positif au collet des deux dents.
- Les exigences esthétiques de la patiente. Il s’agit d’une jeune consœur convaincue des propriétés optiques et esthétiques des RC. La question de la fermeture du diastème a été posée mais la patiente désire le conserver.
- La taille et le volume des lésions modérées, plutôt en faveur…