Principe
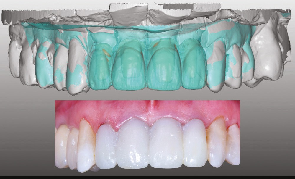
Le cut-back est une stratification partielle avec remplacement d’un faible volume de la couronne monolithique par de la céramique.
La couronne monolithique peut être réalisée par technique pressée (disilicate de lithium uniquement) ou en CFAO par usinage (disilicate de lithium ou zircone).
Réalisation
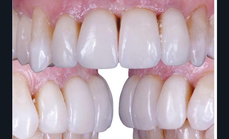
Elle est illustrée ici par un cas clinique de restauration de quatre incisives maxillaires coiffées initalement de couronnes céramo-métalliques [1], traité par le Dr Fleur Nadal (fig. 1 à 5).
Le choix du matériau de remplacement se porte sur la céramo-céramique pour des raisons de biocompatibilité (très bonne tolérance gingivale) et d’absence de corrosion [2].
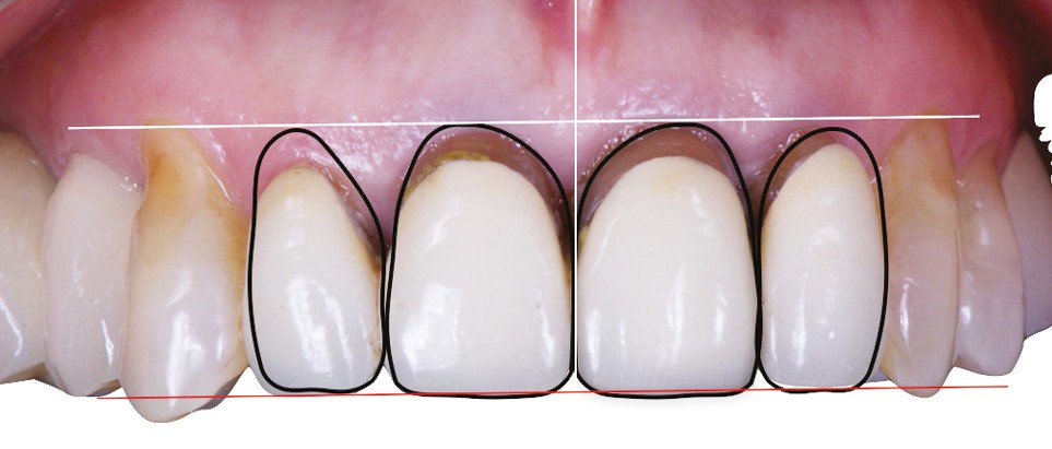
Du fait de la présence d’un support de teinte foncée (fig. 2), une zircone monolithique est choisie [3].
Cette zircone (Prettau 2 Dispersive Zirconzann) précolorée présente une translucidité élevée, un aspect naturel, une résistance à la flexion de 1 200 MPa et évite l’abrasion de l’antagoniste. Le choix du monolithique diminue le risque de chipping [4] et les problèmes mécaniques.
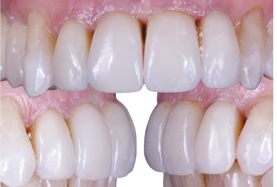
Le cut-back améliore l’esthétique de cette zircone.
Ce qu’il faut retenir
- Le choix du type de céramique et de la technique à mettre en œuvre dépend du support (teinte, épaisseur, situation clinique) et de la demande esthétique du patient.
- La technique du cut-back permet d’augmenter la résistance mécanique des restaurations et, bien maîtrisée, de réaliser des microstratifications esthétiques.
- Dans ce cas clinique, les dyschromies de la substance dentaire naturelle sont masquées.




