La conception et fabrication assistée par ordinateur (CFAO) a été longtemps considérée comme un outil. C’était à nous d’adapter cet outil à nos besoins cliniques. Aujourd’hui, les progrès technologiques ont fait de la dentisterie numérique non plus un outil, mais une partie intégrante de notre pratique.
L’arrivée sur le marché de nouveaux matériaux destinés à la CFAO nous permet de mettre en œuvre des traitements les moins invasifs possible. Les composites usinables sont particulièrement adaptés aux restaurations sans préparations dites prepless.
Nous vous proposons, à travers un cas clinique, d’illustrer l’utilisation de la CFAO et des biomatériaux innovants pour la prise en charge d’un patient présentant des désordres occlusaux importants.
Anamnèse
Le patient, âgé de 32 ans, nous est adressé pour une réhabilitation occlusale. Il a reçu des soins dentaires sous la forme de bridge et couronnes et se plaint depuis d’inconfort lorsqu’il positionne ses arcades dentaires en occlusion avec des contacts dento-dentaires qu’il décrit comme uniquement sur les dents les plus en avant et les plus en arrière. Le patient, coureur régulier, se plaint également de douleurs articulaires au niveau des membres inférieurs et de l’apparition répétée de tendinites lors de sa pratique sportive.
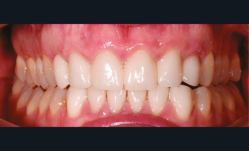
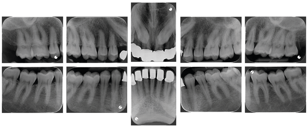
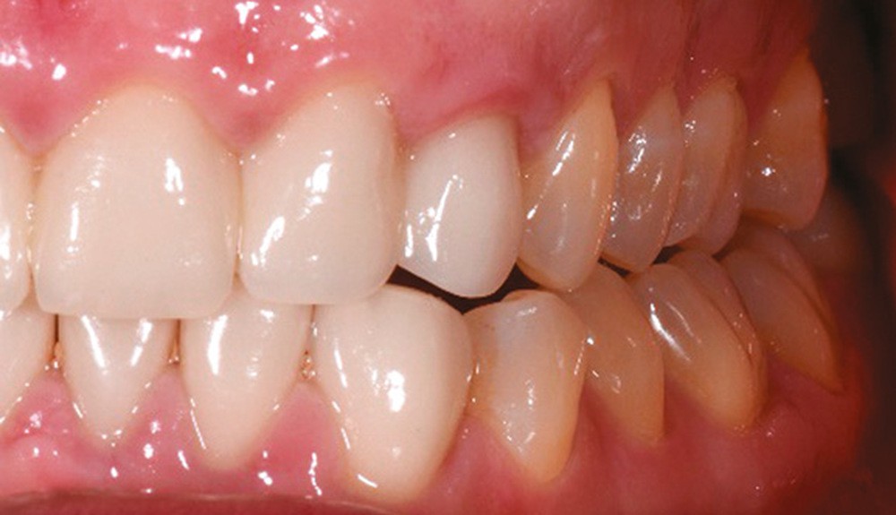
À l’examen endobuccal de première consultation (fig. 1), nous notons la présence d’un bridge maxillaire céramo-céramique sur infrastructure en zircone avec 12, 11, 21 et 22 couronnes moyens d’ancrage et 13 et 23 intermédiaires de bridge en extension. Les incisives et canines mandibulaires ont également été couronnées individuellement. Le patient nous informe que ces soins ont été réalisés pour répondre à sa demande esthétique. L’examen radiologique (fig. 2) révèle la présence de deux canines maxillaires incluses et nous montre qu’aucune dent n’a subi de traitement endodontique.
Cet article est réservé aux abonnés.
Pour lire la suite :
Abonnez-vous pour recevoir la revue et bénéficier des services en ligne et des avantages abonnés.
Vous pouvez également :



