Réhabilitations complètes implanto-portées et flux numérique

  • Par
  • Publié le . Paru dans L'Information Dentaire n°22 - 31 mai 2023 (page 28-36)
Information dentaire
Le maintien d’un flux totalement numérique lors de réhabilitations implantaires complètes est aujourd’hui possible. C'est ce que montre cet article qui en déroule les principales étapes et montre comment articuler les différentes données numériques pour aboutir au résultat escompté, qui exige rigueur et compétence.

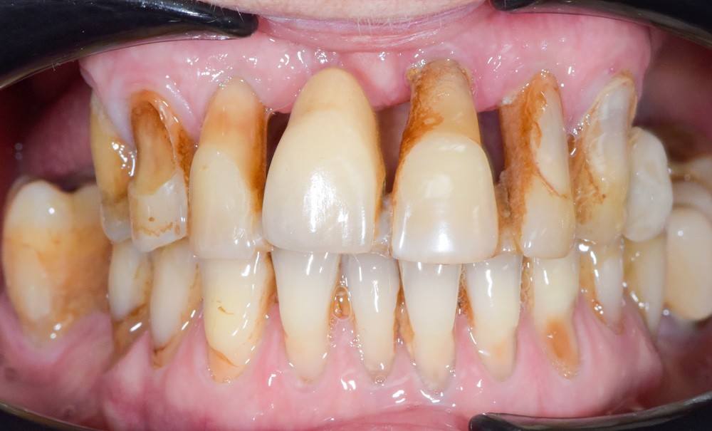
La prise en charge de patients nécessitant des réhabilitations complètes implanto-portées selon des flux de travail entièrement numériques relevait il y a encore peu de temps de la gageure. Ces derniers manquaient en effet de cohérence, obligeant inévitablement à des ruptures de la chaîne numérique.

Les évolutions technologiques au niveau des scanners intra-oraux, des outils de conception, de l’enregistrement et de la reproduction des mouvements dynamiques réels, des matériaux usinables, et surtout des possibilités de convergence des données permettent aujourd’hui d’envisager des plans de traitement innovants, plus efficients, prédictibles et reproductibles.

Car passer à un flux de travail numérique ne consiste pas seulement à transposer les étapes que nous avons l’habitude de réaliser de manière conventionnelle à des outils numériques. Cela n’est pas toujours possible et ne présenterait surtout pas grand intérêt (pourquoi changer ce qui marche bien déjà ?). L’objectif est bien évidemment d’améliorer l’existant tout en le rendant tout aussi universel et protocolisé.

Nous vous proposons à travers cet article de dérouler les différentes étapes d’un flux de travail totalement numérique et d’appréhender la manière d’articuler toutes les données numériques, afin :

  • d’établir un projet de réhabilitation esthético-fonctionnel réalisable ;
  • de permettre sa transposition en bouche avec un haut degré de concordance ;
  • de réaliser une prothèse d’usage de grande qualité conforme aux impératifs de la prothèse implantaire et au projet initial.

L’indispensable recueil des données

La création d’un clone numérique du patient est le point de départ de toute thérapeutique numérisée. Afin de travailler au plus près de la situation clinique réelle et de donner de la puissance au « clone numérique », il convient de regrouper le plus de données possible en faisant appel à différents…

Cet article est réservé aux abonnés.
Pour lire la suite :

Vous êtes abonné.e ? Connectez-vous
Mot de passe
oublié ?

Vous pouvez également :

Acheter l'article En version numérique
Acheter le numéro À l'unité

Thèmes abordés