La réimplantation d’une dent permanente expulsée doit se faire le plus rapidement possible [1]. L’ankylose, l’infection, les résorptions radiculaires sont souvent associées à une perte de la dent à court, moyen ou long terme. Elles obligent le praticien à trouver des solutions suivant différents délais pour préserver le sourire de l’enfant et/ou préparer les tissus de soutien du futur adulte à toute possibilité de prise en charge : décoronation, auto-transplantation, bridge, prothèse amovible partielle ou fermeture d’espace par orthodontie (liste non exhaustive) [1-3]. Cet article a pour objectif d’illustrer le suivi et certaines solutions possibles à travers trois situations cliniques avec suivi dans le temps.
Cas 1
Enfant de 9 ans dont une incisive centrale maxillaire a été expulsée en jouant au football. Appel immédiat de la mère à qui l’on conseille de conserver la dent expulsée dans du sérum physiologique (fig. 1). Le temps extra-alvéolaire à sec a été inférieur à 5 minutes. Le patient arrive 40 minutes après le traumatisme dans l’Unité d’Odontologie pédiatrique. Après interrogatoire, examen clinique et radiographique, un rinçage de l’alvéole est effectué et la dent est réimplantée le plus rapidement possible (fig. 2). Une contention semi-rigide est ensuite placée (fig. 2). La dent étant mature, la prise en charge endodontique (séance de Ca(OH)2 puis obturation à la gutta percha) débute deux semaines plus tard (fig. 3 et 4) afin de limiter les risques d’infection, de résorption. Le suivi sur quatre années montre une dent fonctionnelle, sans ankylose ni résorption radiculaire ou osseuse.
Cas 2
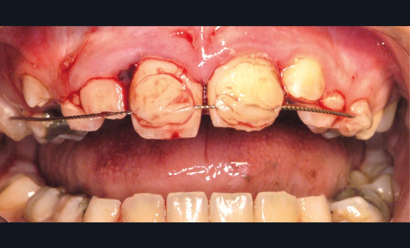
Adolescente de 17 ans ayant trois dents (12, 11, 21) expulsées lors de travaux aux champs (fig. 5), ainsi qu’une luxation latérale de la 13. Elle est adressée par les urgences du CHU de Rennes et la consultation a lieu 6 heures…






