Quelle attitude thérapeutique adopter ? (1re partie)
L’effet iatrogène est un effet indésirable, conséquence d’un traitement par un thérapeute qui n’est pas nécessairement lié à une erreur, une imprudence ou une négligence de la part du thérapeute.
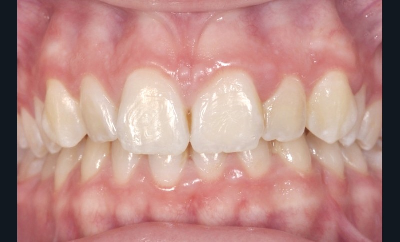
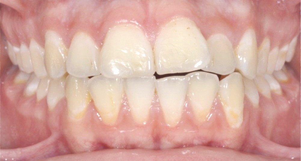
Une dépose des attaches inadaptée peut entraîner des fissures, des arrachements microscopiques ou macroscopiques de l’émail, voire des nécroses dentaires (fig. 1).
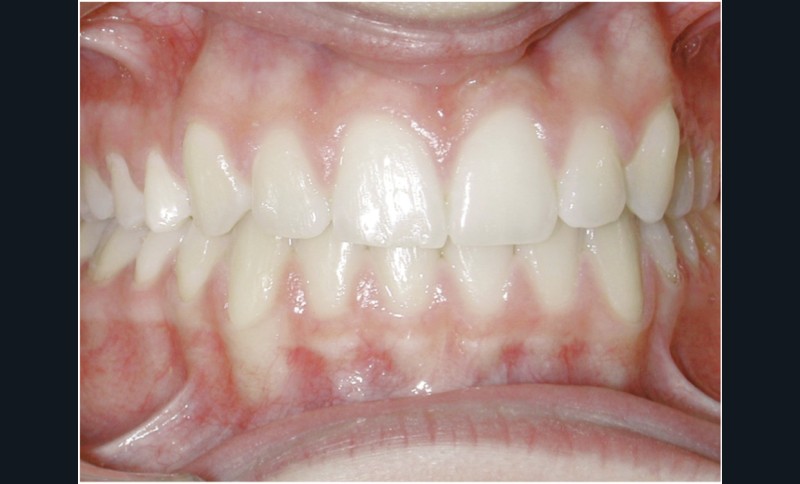
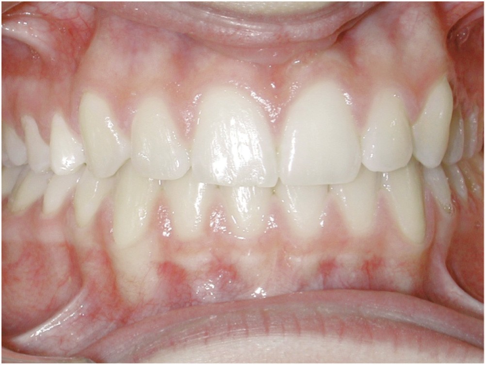
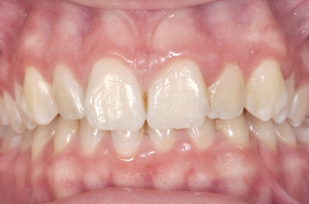
Un nettoyage agressif de « la colle » peut entraîner une altération de l’émail qui va de la perte de sa brillance et de son poli jusqu’à la réduction de son épaisseur en passant par la création de rayures (fig. 2).
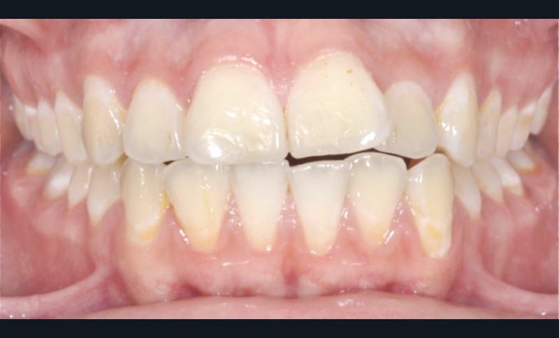
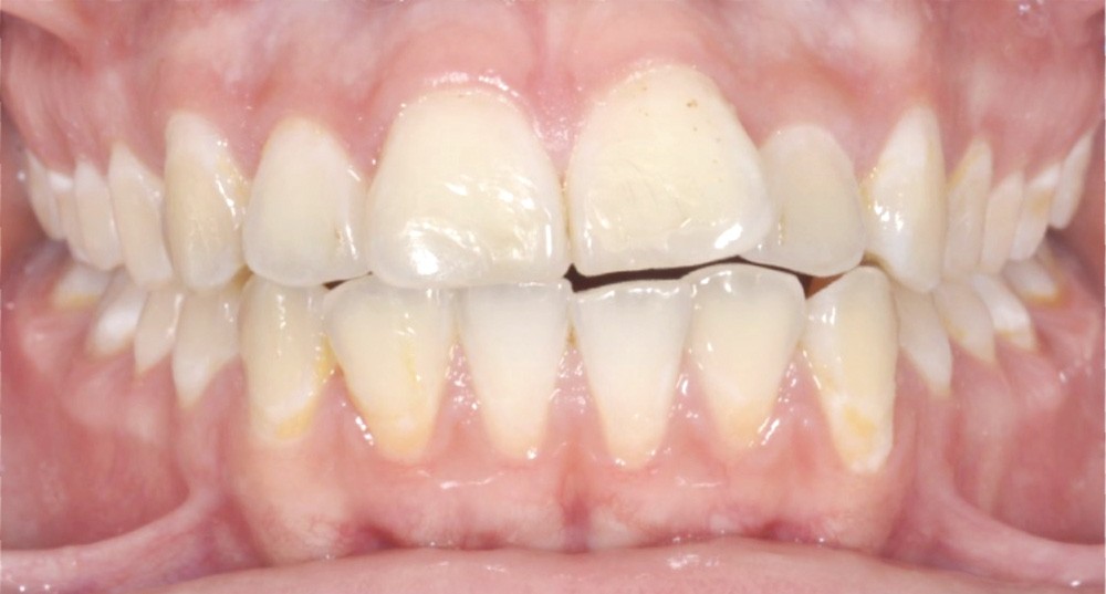
Un nettoyage incomplet de la colle orthodontique peut être à l’origine d’une dyschromie liée à la coloration dans le temps de la résine résiduelle (fig. 3).
Cet article tentera de traiter la iatrogénie sur l’émail de la dépose des attaches orthodontiques, du nettoyage de la colle et des précautions à prendre pour éviter leurs effets délétères.
Plusieurs paramètres jouent sur la qualité de l’émail après un traitement ODF :
• l’agressivité du traitement de surface de l’émail,
• les propriétés adhésives et mécaniques du système de collage,
• les caractéristiques de l’attache et de sa base (rigidité et traitement de la base)
• la technique de dépose des attaches,
• les instruments et la procédure de nettoyage de la colle.
La question de l’intégrité de l’émail et de son état de surface après un traitement orthodontique doit être posée à tout moment du traitement orthodontique et pas uniquement au moment du choix de l’instrument de nettoyage de la colle.
Incidence des systèmes de collage et des traitements de surface associés sur la préservation de l’émail
Avant chaque début de traitement, le praticien doit avoir à l’esprit la question suivante :…



