Attitude thérapeutique ? (2e partie*)
Incidence du choix de l’attache
Deux caractéristiques de l’attache jouent un rôle important dans le respect de l’émail à la fin du traitement orthodontique : sa rigidité et le traitement de sa base. Leurs implications sont interdépendantes avec le choix du système de collage.
L’assemblage collé doit avoir un maillon faible pour une dépose sans sollicitation de l’interface colle/émail.
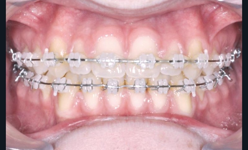
Si l’attache est métallique et déformable ou céramique avec un point de rupture, nous avons plus de liberté dans le choix de la colle quel que soit le traitement de la base de l’attache (fig. 1a, b).
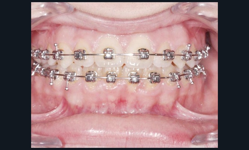
Plus l’attache est rigide (en céramique sans point de rupture ou métallique non déformable avec une porte rigide) et le traitement de sa base est très rétentif, plus sa dépose est difficile avec un risque important d’endommagement de l’émail surtout quand la colle utilisée est trop performante en termes d’adhérence et de propriétés mécaniques (fig. 2a,b).
Dans des conditions de rigidité élevée de l’attache, le maillon faible de l’assemblage, indispensable à la dépose sans risque sur l’émail, est recherché dans le système de collage qui doit avoir une faible cohésion. Le CVIMAR est recommandé dans ces conditions.
La technique de dépose des attaches
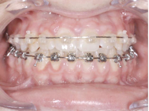
Tout orthodontiste averti est conscient que dans un souci de respect de l’intégrité de l’émail et pour éviter tout risque de fissures, d’arrachements microscopiques ou macroscopiques de l’émail, la dépose des attaches orthodontiques doit se faire par sollicitation et rupture de l’interface colle/attache. Toute la colle doit rester sur l’émail, elle est éliminée dans un second temps grâce à une procédure de nettoyage rigoureuse et à l’aide d’instruments adaptés (fig. 3).
[gallery link= »file » columns= »1″ ids= »32037, 32038…






