ROG péri-implantaire : données actuelles et évolutions récentes

  • Par
  • Publié le . Paru dans L'Information Dentaire n°20 - 18 mai 2022 (page 22-35)
Information dentaire

La réhabilitation implantaire est une proposition de traitement valable et établie. Ce qui diffère d’hier à aujourd’hui est le traitement de l’édenté, qui évolue vers une solution de plus en plus efficace et atraumatique. Si la durée des traitements implantaires diminue, le délai de cicatrisation tissulaire reste, lui, incompressible. Les phases chirurgicales d’implantation et de greffe osseuse sont alors étroitement liées. La régénération osseuse guidée (ROG), en tant que technique chirurgicale fiable et validée, répond alors favorablement à cette problématique. Documentée dans la littérature comme la technique de greffe osseuse avec le plus de recul et d’études scientifiques, la ROG a connu des évolutions récentes, lui permettant de devenir une technique incontournable en chirurgie osseuse implantaire.

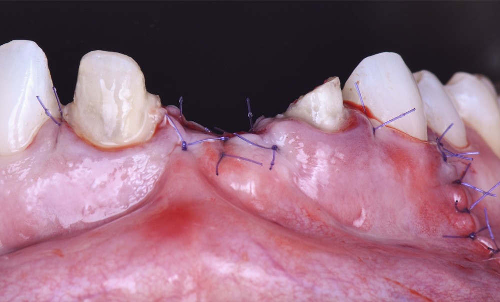
L’avulsion d’une dent est une procédure délicate et invasive ayant pour conséquence la rupture vasculaire et ligamentaire du desmodonte [1]. L’os alvéolaire étant un tissu vital, dento-dépendant, réactif et soumis à une activité métabolique complexe, il subit des remaniements constants par le biais du jeu des ostéoblastes/ostéoclastes. Que ce soit en site antérieur ou postérieur, la résorption alvéolaire postextractionnelle est inévitable, progressive dans le temps, un fait démontré dans la littérature [2]. Cette résorption affecte le volume osseux péri-implantaire, garant de la réussite des traitements. De nombreuses techniques chirurgicales permettent de conserver et d’augmenter ce volume. Parmi les greffes autogènes, l’expansion, la distraction ou encore les greffes de sinus, la régénération osseuse guidée (ROG) apparaît comme la technique la plus décrite dans la littérature, avec un taux de succès élevé. Introduite notamment par Dahlin et al. en 1988 [3], son principe majeur d’exclusion cellulaire par l’utilisation de membrane fut repris par Herman et al. en 1990 [4]. Ils démocratisaient l’utilisation de la régénération osseuse guidée concomitante à l’implantation simultanée. De nos jours, la technique de ROG doit son succès majeur aux travaux d’Istvan Urban et de son équipe [5] qui, en améliorant la technique, ont optimisé son indication en chirurgie préimplantaire d’augmentation verticale et horizontale.

Forte d’une pérennité de plus de trente ans, la technique fait l’objet d’une littérature abondante que nous recenserons, analyserons et exposerons. Les perspectives d’évolution tant par les matériaux que par les nouvelles techniques chirurgicales seront abordées. Puis, à l’aide de cas cliniques, nous détaillerons la technique en implantation précoce.

Principes de la régénération osseuse guidée

La ROG répond aux principes PASS [6] communs à toute greffe osseuse, à savoir…

Cet article est réservé aux abonnés.
Pour lire la suite :

Vous êtes abonné.e ? Connectez-vous
Mot de passe
oublié ?

Vous pouvez également :

Acheter l'article En version numérique
Acheter le numéro À l'unité

Thèmes abordés