Rôle de l’occlusion dans l’étiologie des maladies parodontales : revue de littérature

  • Par
  • Publié le . Paru dans Réalités Cliniques n°1 - 5 mars 2020

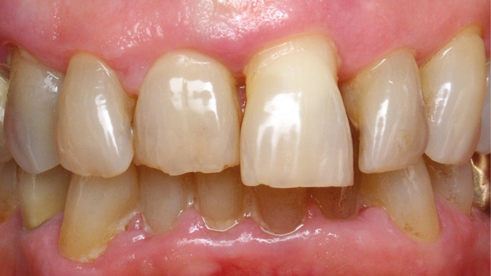
2-3. Exemple clinique d’une incisive déplacée en avant et en bas (vues de face et de profil) : parodontite localisée associée à des forces occlusales traumatiques.

Information dentaire
Le rôle des forces occlusales traumatiques dans l’initiation et la progression de la parodontite reste un sujet controversé en parodontologie. Les forces occlusales traumatiques peuvent entraîner un traumatisme occlusal (lésion histologique) au niveau d’un parodonte sain. Les traumatismes occlusaux ne pouvant être confirmés que histologiquement, le diagnostic clinique repose sur des signes cliniques et radiographiques qui rendent difficiles les essais cliniques. Des études ont montré que les forces occlusales traumatiques peuvent être associées à la gravité de la parodontite.
Les données probantes provenant de modèles animaux indiquent que les forces occlusales traumatiques peuvent augmenter la perte d’os alvéolaire. Cependant, rien n’indique que les forces occlusales traumatiques peuvent accélérer la progression de la parodontite chez l’homme, en particulier la perte d’attache. Le traitement occlusal est indiqué dans le cadre du traitement parodontal pour réduire la mobilité et augmenter le confort du patient et sa fonction masticatrice. La réduction de la mobilité dentaire peut améliorer l’effet du traitement parodontal.

La parodontite est une maladie inflammatoire d’origine infectieuse multifactorielle, chronique, évolutive caractérisée par la destruction progressive des tissus parodontaux [1]. Chaque individu se caractérise par sa propre réaction inflammatoire qualifiée de « réponse de l’hôte à l’infection », ce qui explique la susceptibilité de chacun à la présence des bactéries dans la plaque dentaire [2]. Depuis longtemps, l’occlusion a été impliquée dans le comportement des tissus parodontaux, et, une controverse « historique » existe sur son rôle dans le développement et/ou la progression des maladies parodontales, tant pour les gingivites que pour les parodontites.

La nouvelle classification des maladies parodontales fait apparaître le traumatisme occlusal dans le chapitre « Autres pathologies affectant le parodonte », chapitre distinct de celui des parodontites décrivant les stades et les grades selon la sévérité et la complexité des cas [3].

Définitions

Une force occlusale traumatique (ou « force occlusale excessive ») peut être définie comme une force occlusale qui dépasse la capacité d’adaptation du parodonte, qui entraîne un traumatisme occlusal (lésion) et peut provoquer une usure excessive ou une fracture des dents [4].

Le « trauma occlusal » (ou traumatisme occlusal) est un terme utilisé pour décrire une lésion entraînant des modifications de l’appareil de fixation de la dent, comprenant le ligament parodontal, l’os alvéolaire et le cément, en raison de la ou des forces occlusales [4]. Un traumatisme occlusal peut se produire au niveau d’une dent avec un parodonte sain intact ou avec un parodonte malade réduit par une maladie parodontale.

Le traumatisme occlusal primaire est une lésion entraînant des modifications tissulaires dues à des forces occlusales excessives appliquées à une dent ou à des dents avec un support parodontal normal et sain.

Le traumatisme occlusal secondaire est…

Cet article est réservé aux abonnés.
Pour lire la suite :

Vous êtes abonné.e ? Connectez-vous
Mot de passe
oublié ?

Vous pouvez également :

Acheter l'article En version numérique
Acheter le numéro À l'unité

Thèmes abordés