À propos d’un cas clinique
La solution repose sur l’étude de l’anatomie et l’utilisation simultanée de la chaîne numérique, permettant ainsi de donner naissance à un protocole, beaucoup plus compact, rapide et respectueux de la physiologie du patient : le protocole iphysio®. Ce concept breveté est proposé conjointement par ETK® et LYRA®. Deux pièces seulement (une interface Esthetibase et un pilier iphysio®) permettent de proposer une solution rapide, accessible et qualitative.
Présentation du cas clinique
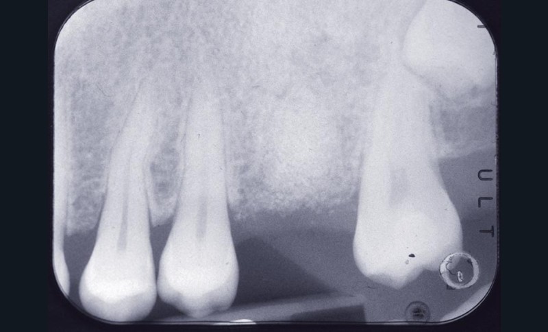
La patiente se présente au cabinet pour une fistule vestibulaire sur la 26. Elle avait subi une résection apicale qui n’avait pas eu de succès et avait provoqué une résorption de la corticale vestibulaire de l’alvéole. Le plan de traitement proposé prévoit l’extraction de la dent, le comblement de l’alvéole et du défaut avec la technique de « socket preservation » (fig. 1).
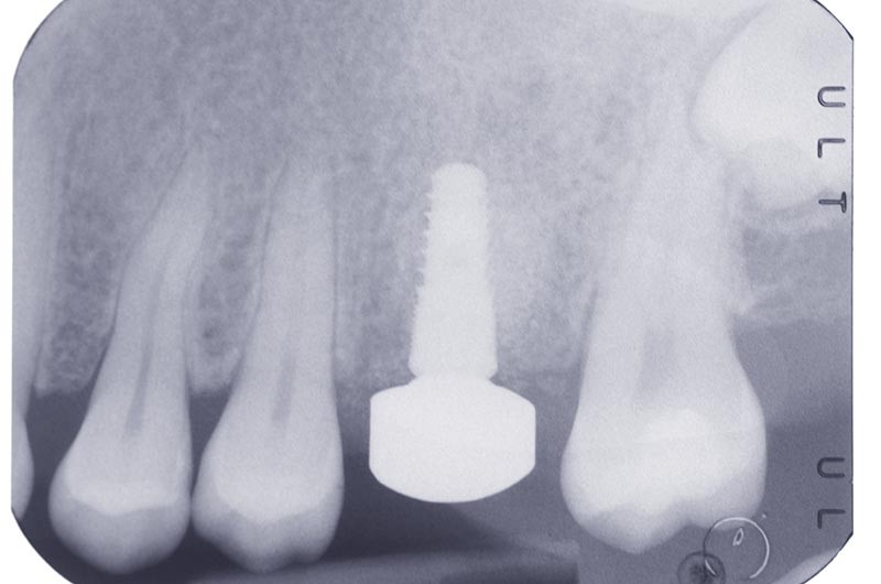
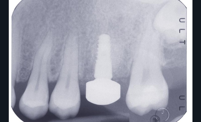
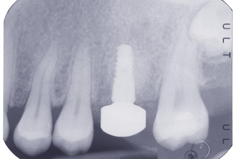
Après trois mois, un implant Naturall+, de diamètre 4 x 10 mm, est posé en remplacement de la 26. La stabilité primaire mesurée au moment de la pose de l’implant est supérieure à 35 N.cm.
Choix du pilier de cicatrisation
Après la pose de l’implant, la stabilité primaire autorise la mise en place d’un pilier de cicatrisation. L’implant Naturall+ permet de choisir dans une sélection de 9 formes anatomiques de pilier de cicatrisation (3 profils et 3 hauteurs) (fig. 2 et 3).
Pour fixer le pilier de cicatrisation, une interface Esthetibase est posée sur l’implant. Il existe de nombreuses interfaces permettant de s’adapter à la plupart des marques d’implants sur le marché. Le pilier iphysio® C1 choisi est clipsé sur l’interface (fig. 4).
Après 4 mois d’ostéointégration de l’implant, les tissus mous sont parfaitement stables autour du capuchon. Après…



