La péri-implantite rétrograde (PIR) est une notion récente, se définissant comme une lésion cliniquement symptomatique à l’apex d’un implant (radioclarté apicale à l’examen radiographique), tandis que la partie coronaire implantaire présente une ostéointégration normale [1]. Plusieurs facteurs étiologiques entrent en compte dont le statut endodontique des dents adjacentes au site implantaire. En effet, la présence d’une lésion inflammatoire périradiculaire d’origine endodontique (LIPOE), même asymptomatique, sur une dent traitée endodontiquement et adjacente à un futur site implantaire peut s’étendre et contaminer par la suite la partie apicale implantaire. Ainsi, dans un tel cas de figure, quelles sont les recommandations selon les données actuelles de la littérature ?
Un patient de 50 ans, s’est présenté à notre consultation afin de remplacer sa dent 36, préalablement extraite pour raison carieuse.
Examen clinique
Intra-oral
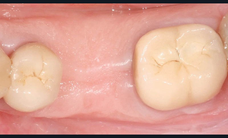
On note chez ce patient l’absence de 16, 28, 36 et 47. 35 et 37 présentent des couronnes prothétiques qui semblent cliniquement bien adaptées (fig. 1). Le biotype parodontal est plat et épais avec une importante quantité de tissu kératinisé et peu de signes inflammatoires. L’examen occlusal ne rapporte, quant à lui, aucune interférence ni parafonction.
Parodontal
Lors de l’examen parodontal, l’indice de plaque est de 12 % et l’indice de saignement de 3 %. Le sondage montre la présence de poches parodontales ≥ 5 mm au maxillaire et à la mandibule. On note aussi la présence de récessions de classes III et IV selon la classification de Miller. Des lésions interradiculaires de degrés I et II sont observées au niveau des molaires maxillaires et mandibulaires. Des mobilités sont également relevées, allant jusqu’à un score de 3 (classification de Mühlemann). Lors de cet examen, 34 % des sites ont alors un niveau d’attache…
