Les cancers de la tête et du cou représentent près de 5 % de toutes les tumeurs malignes. En 2018, ils ont représenté environ 887 649 nouveaux cas de cancers et 453 307 décès liés au cancer dans le monde. Ce sont des cancers souvent diagnostiqués à des stades avancés, et traités par des thérapies radicales [1, 2].
La radiothérapie est l’une des principales options thérapeutiques du cancer de la tête et du cou, et elle est fréquemment associée à la chirurgie et/ou à la chimiothérapie. La radiothérapie conventionnelle implique généralement de fortes doses de rayonnement en doses quotidiennes fractionnées, qui entraînent des toxicités importantes pour tous les tissus inclus dans le champ de rayonnement [3-5].
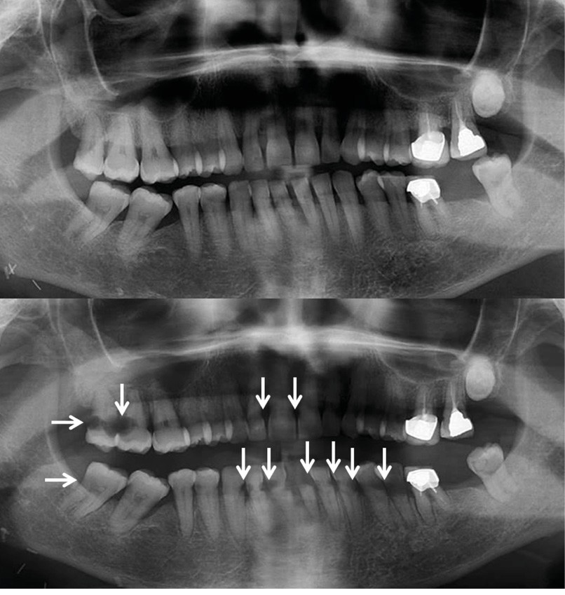
La probabilité et la gravité de ces effets indésirables dépendent d’un certain nombre de facteurs, comme la dose totale de radiations administrées, la durée de l’irradiation, et les parties de la tête et du cou concernées. Au niveau de la cavité buccale, les toxicités associées à la radiothérapie incluent l’altération du renouvellement des muqueuses de la cavité buccale, la modification de la production et de la qualité de la salive, provoquant une hyposialie ou asialie, une modification de la flore buccale et une altération du goût (fig. 1 et 2). Tous ces effets indésirables jouent un rôle fondamental dans la dégradation de l’état bucco-dentaire et ont des impacts directs sur de la qualité de vie du patient [3-5].
Sur le site de l’IUCT-Oncopole, centre de référence en cancérologie, une consultation des pathologies des muqueuses de la cavité buccale codirigée par l’équipe du Dr Emmanuelle Vigarios est dédiée aux soins de supports. Les soins de supports sont définis par l’Institut national du cancer (INCa) comme l’ensemble des soins et soutiens nécessaires aux personnes malades tout au long de leur maladie. Ces soins de support ont comme…

