Spécificités de la contention en cas de parodontite

  • Par
  • Publié le . Paru dans L'Orthodontiste n°4 - 15 septembre 2023 (page 58-69)
Information dentaire
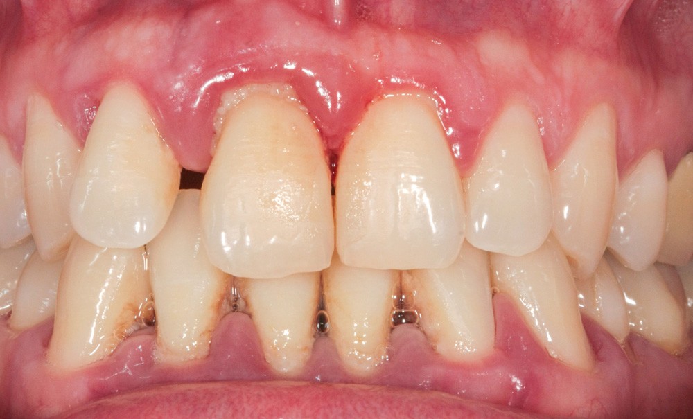
La parodontopathie touche près d’une personne sur 2 à 50 ans et entraîne couramment des migrations dentaires secondaires. L’orthodontiste est donc en première ligne pour diagnostiquer chez l’adulte ces pathologies, et détecter l’origine parodontale de ces migrations. Parmi l’ensemble des procédures thérapeutiques existantes et recommandées, les contentions sont souvent négligées. Or, les résultats d’assainissement ou de régénération les plus ambitieux sont très délicats à obtenir sans avoir recours aux contentions. Celles-ci aident à réduire les mobilités, optimisent l’occlusion, mais permettent également de stabiliser mécaniquement le volume de cicatrisation parodontale. Les dispositifs de contention peuvent être réalisés après traitement orthodontique, mais aussi, en amont, dans les phases initiales de traitement afin d’éviter une aggravation des migrations.

Les parodontites sont des pathologies d’origine bactérienne, aggravées par de nombreux facteurs (tabac, génétique, hygiène…) [1] et conduisant à une altération du système d’attache parodontale, la célèbre poche parodontale. Depuis 2017, ces pathologies sont décrites suivant des stades de gravité et de complexité, modulées par un grade, qui décrit leur rapidité de progression [2]. Cette classification est très intéressante, car elle permet de décrire une situation clinique et d’en approcher un plan de traitement. Je conseille aux orthodontistes de lire et de garder à disposition l’excellente synthèse réalisée par la SFPIO [3].

Les phases III et IV, les plus avancées, conduisent à une destruction de la composante osseuse de cette attache. Cette perte de maintien mécanique des dents engendre une diminution de la résistance des tissus parodontaux aux forces appliquées sur ces dents. Il en résulte soit des migrations secondaires, soit des mobilités d’intensité variable (de 1 à 4 [4]). Ce sont des signes pathognomoniques des parodontites, comme la présence de poches parodontales, qui doivent donc alerter l’orthodontiste quant à la présence d’une pathologie parodontale. D’où l’intérêt fondamental d’intégrer une sonde parodontale PCUNC-15 dans les sets d’examens pour adulte. Il est important de rappeler que les parodontites sont les pathologies inflammatoires chroniques non transmissibles les plus fréquentes. La prévalence d’une forme moyenne est de 50 % sur une classe d’âge 45-49 ans [5] et de 11,4 % [6] pour des formes sévères. Ainsi, l’orthodontiste doit garder présent à l’esprit qu’il y a une forte probabilité pour que les migrations dentaires pour lesquelles un patient vient consulter soient provoquées par la présence de parodontites.

Définition et objectif d’une contention

Les contentions sont des techniques et des dispositifs permettant [7] :

  • la réduction des mobilités…

Cet article est réservé aux abonnés.
Pour lire la suite :

Vous êtes abonné.e ? Connectez-vous
Mot de passe
oublié ?

Vous pouvez également :

Acheter l'article En version numérique
Acheter le numéro À l'unité

Thèmes abordés