L’amélogenèse imparfaite (AI) est une anomalie héréditaire rare de la structure dentaire, caractérisée par des défauts amélaires en denture temporaire et permanente. Ses conséquences cliniques varient en fonction du type d’AI et de la sévérité de l’atteinte. Elles sont cependant souvent telles, qu’elles nécessitent une prise en charge précoce et pluridisciplinaire, afin d’améliorer la qualité de vie considérablement dégradée des patients atteints par cette affection.
Si le traitement orthodontique n’est pas contre-indiqué chez les patients atteints d’AI, les anomalies dentaires, dento-alvéolaires et squelettiques spécifiques rencontrées font de leur prise en charge orthodontique un réel défi.
Anomalies associées aux amélogenèses imparfaites
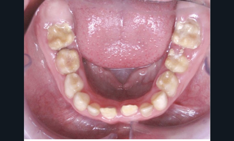
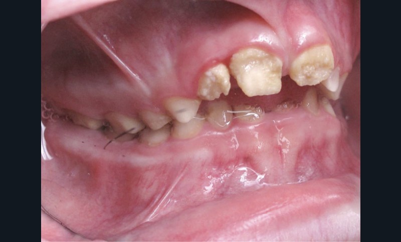
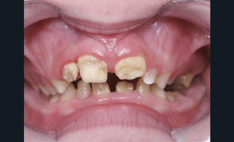
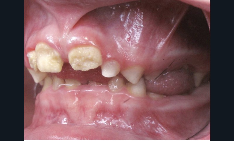
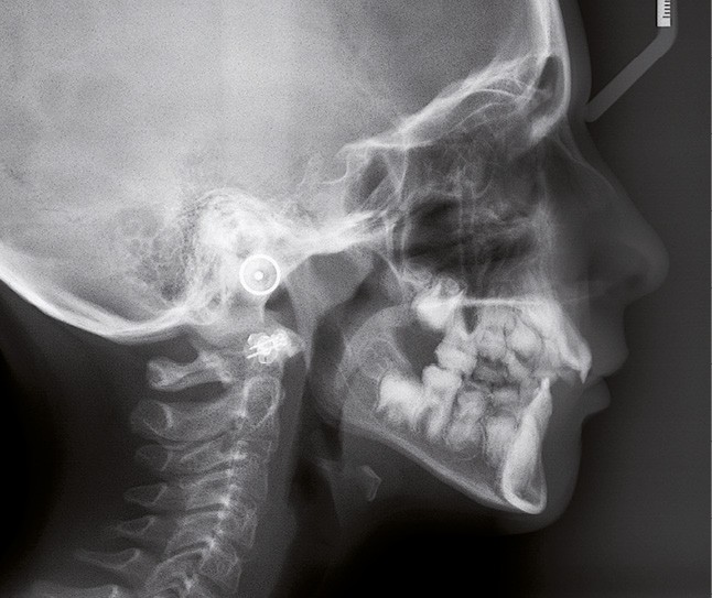
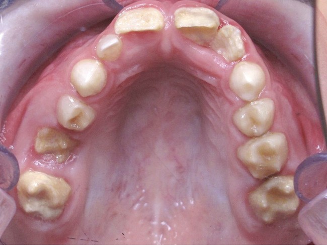
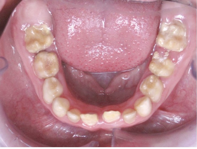
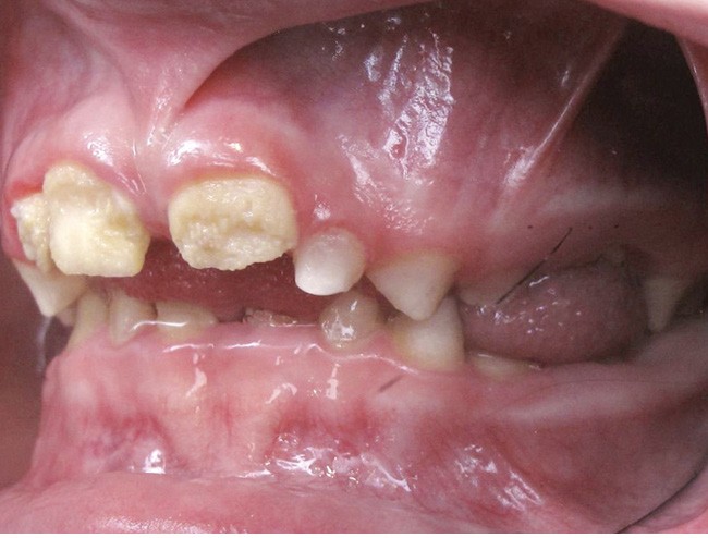
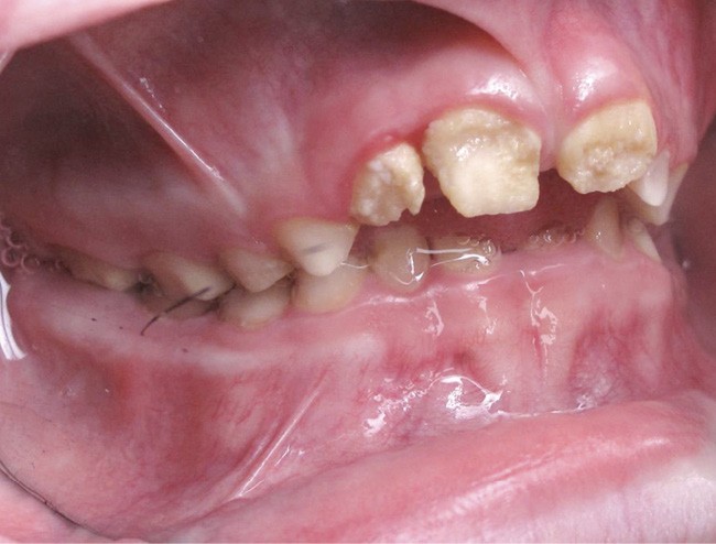
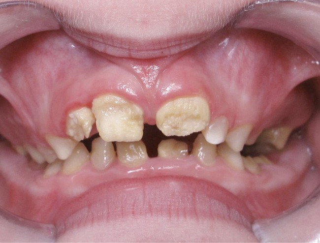
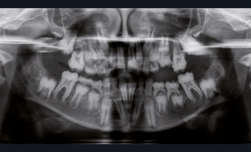
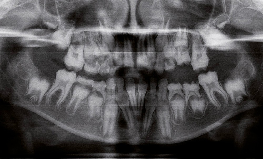
Il existe des anomalies dentaires (tabl. I) [1-12], mais aussi occlusales associées aux AI (fig. 1 et 2).
Dans le sens vertical
Selon de nombreuses études, l’anomalie occlusale la plus fréquemment retrouvée en association avec les AI est l’infraclusion antérieure, puisqu’elle est retrouvée chez 22 à 64 % des patients présentant cette affection, et encore plus chez les femmes [2,8,13-19]. Cette anomalie touche tous les types d’AI mais à des degrés très divers. Son incidence semble élevée dans les formes hypominéralisées, moindre dans les formes hypoplasiques et nettement moindre dans les formes hypomatures [8,17,18]. La sévérité de l’atteinte amélaire ne semble pas corrélée avec la présence ou l’intensité de cette malocclusion [17].
En 1982, Rowley et al. [18] ont montré que 44 % des patients atteints d’AI dans leur échantillon, présentaient un angle plan maxillaire (épine nasale antérieure – épine nasale postérieure) /plan mandibulaire (point gonion – point menton) supérieur à 34°, alors que la norme…







