Le « syndrome du fil » de contention collé en orthodontie

  • Par
  • Publié le . Paru dans L'Information Dentaire n°28 - 22 juillet 2020 (page 30-36)
Information dentaire
Les traitements orthodontiques actifs sont toujours suivis d’une période de contention. Celle-ci doit durer deux années en moyenne. Elle a pour objectif la réorganisation des fibres supra-septales étirées pendant le traitement, assurant ainsi la stabilité de la dent dans sa nouvelle position. Les contentions sont amovibles, sous forme de plaque en résine ou de gouttières thermo-formées, ou fixes : ce sont par exemple des fils rigides, torsadés ou des chainettes métalliques articulées, collés de canine à canine sur toutes les dents. Aucune étude n’a montré la supériorité d’un mode de contention sur un autre [1], mais les praticiens et les patients font souvent le choix des fils collés, notamment à la mandibule, leurassurant une contention fixe et permanente. Par crainte de voir les dents se déplacer, notamment les incisives, les patients préfèrent garder leurs contentions collées le plus longtemps possible. Malheureusement, même si celles-ci paraissent bien collées, des déplacements dentaires inesthétiques etsurtout des atteintes de leur environnement parodontal peuvent apparaître plusieurs années après lapose de la contention. Ce phénomène a été appelé « syndrome du fil » par Roussarie et al en 2015 [2].

Les effets indésirables des fils de contention collés

Les contentions par fils collés maintiennent l’esthétique dans les régions antérieures sans solliciter l’observance du patient ; elles sont le plus souvent collées en lingual des 6 dents antérieures mandibulaires, mais peuvent l’être également sur les 4 ou 6 dents antérieures maxillaires. Dans cette dernière situation, elles ne doivent pas interférer avec les contacts en Occlusion d’Intercuspidie Maximale (OIM). Ce type de contention est fiable, prédictible et compatible avec la santé parodontale. Ainsi, Renkema et al. [3] ont montré que les fils collés flexibles sur les 6 dents antérieures mandibulaires avaient 90,5 % d’efficacité à 5 ans après le débaguage. Une surveillance régulière est requise afin de rechercher une éventuelle fracture du fil ou de la colle et d’assurer un suivi parodontal inhérent à ce dispositif lingual.

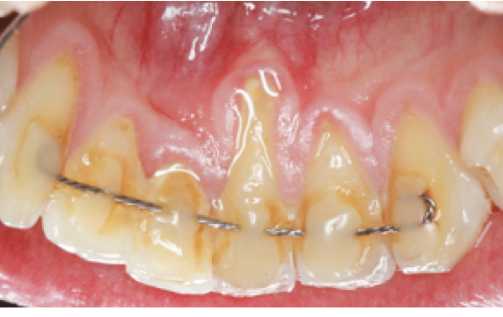
Cependant, dans certains cas, des déplacements dentaires inexpliqués sont observés, sans fracture du fil ou de la colle, provoquant des espaces entre les incisives, des modifications de torque (ou inclinaison vestibulo-linguale) au niveau des incisives maxillaires, des modifications de torque opposées entre deux incisives centrales mandibulaires ou « X effect » (fig. 1 et 2) ou des inclinaisons opposées des canines mandibulaires contro-­latérales (linguale pour l’une, vestibulaire pour l’une) ou « Twist effect » [4] (fig. 3 et 4). Ces mouvements n’apparaissent pas immédiatement après la pose de la contention, mais dans les 5 ans qui suivent.

Renkema et al. [2] et Katsaros et al. [5] estiment que 2,7 à 5 % des patients ayant des fils collés flexibles ont des modifications inexpliquées post-traitement. Il peut alors y avoir nécessité de reprendre le traitement orthodontique et, dans certaines situations, les fortes inclinaisons des dents peuvent entraîner des complications parodontales telles que des récessions…

Cet article est réservé aux abonnés.
Pour lire la suite :

Vous êtes abonné.e ? Connectez-vous
Mot de passe
oublié ?

Vous pouvez également :

Acheter l'article En version numérique
Acheter le numéro À l'unité

Thèmes abordés

Sur le même sujet

Parodontologie

Article réservé à nos abonnés De la muco-esthétique à la muco qui sauve les dents

Le concept PASS au cœur de l’innovation parodontale La chirurgie plastique parodontale a connu une évolution notable, alliant avancées cliniques et technologiques...
Parodontologie

Article réservé à nos abonnés Séance SFPIO – Quelles sont les bonnes pratiques en parodontologie en 2024 ?

Responsable scientifique : Caroline Fouque Intervenants : Damien FEUILLET, Hélène RANGé, Nicolas BLANC-SYLVESTRE La parodontologie au croisement des disciplines Toutes sévérités confondues, les...