Actuellement, la mise en place d’une attelle répond à plusieurs indications [2]. Cela peut être la stabilisation de dents présentant une atteinte parodontale, ou en fin de traitement orthodontique pour éviter des récidives (fig. 1).
En urgence également pour remplacer une dent extraite après traumatisme ou infection. Divers types de renfort ont été utilisés de façon immédiate ou différée. Ils sont préparés sur une empreinte ou mis en place directement en bouche. Pour les méthodes extemporanées, la difficulté réside dans le placement correct du renfort qui sera enrobé de résine composite [3].
Nous allons présenter ici une technique utilisant un renfort fibré pré-imprégné et l’illustrer par trois exemples cliniques.
Contention mandibulaire parodontale
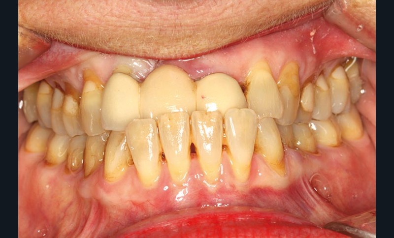
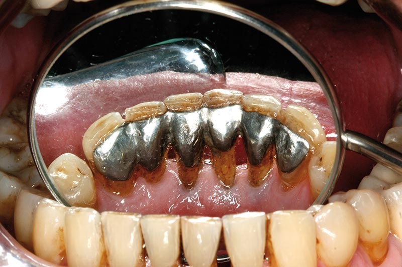
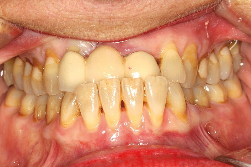
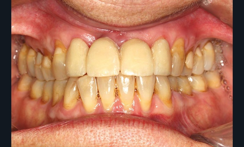
Une patiente présente un proglissement mandibulaire aboutissant à une inversion d’occlusion au niveau des incisives (fig. 2).
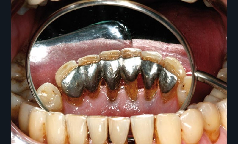
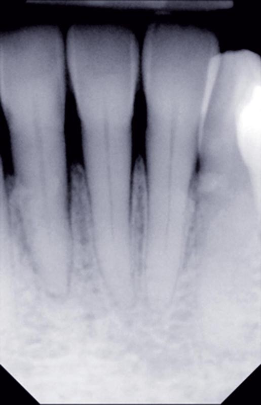
Au-delà du préjudice esthétique, il induit des forces importantes en direction vestibulaire sur les incisives mandibulaires. Ces incisives présentent une légère mobilité. La radio rétro-alvéolaire montre un élargissement desmodontal et une perte osseuse verticale sans cratérisation ni inflammation (fig. 3).
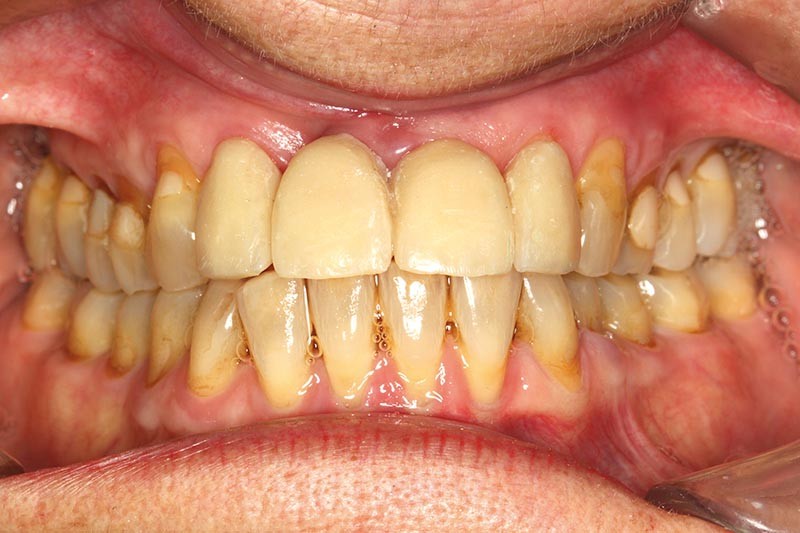
Un montage en articulateur des moulages permet d’observer en relation centrée (RC) de meilleures conditions d’affrontement des dents antérieures. La proposition thérapeutique est la réfection du bridge existant, une équilibration occlusale par coronoplastie des secteurs postérieurs pour stabiliser les appuis occlusaux en RC et la mise en place d’une contention dans le secteur antérieur mandibulaire. Une maquette prothétique permet la réalisation d’un bridge provisoire dans une position corrigée (fig. 4).
La contention est réalisée en utilisant…



