Temporisation des projets implantaires ou prothétiques : la solution T.O.B.B.I.

  • Par
  • Publié le . Paru dans L'Orthodontiste n°3 - 15 juin 2016 (page 43-44)
Information dentaire

Comme nous venons de le lire dans ce numéro (Agénésies des incisives latérales : revoyons nos pratiques), nous sommes confrontés à un véritable défi pour gérer au mieux la phase de transition entre la fin de la période orthodontique et le temps implantaire chez nos patients présentant des agénésies d’incisives latérales.
Afin de compenser ces édentements pendant cette période relativement longue, les orthodontistes ont opté pour les plaques de Hawley mais les critiques se multiplient à leur égard. Ce dilemme pourrait être résolu grâce au concept original T.O.B.B.I. (Temporary Orthodontic Bonding Bridge for Implant).

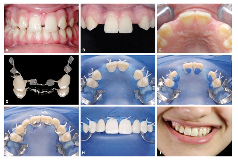
T.O.B.B.I., un bridge collé simplissime

Variante du bridge collé, le bridge T.O.B.B.I. est une solution prothétique provisoire fixe reposant sur le principe de collage des brackets d’orthodontie. Il est fabriqué à partir de bases orthodontiques (Dentaurum) sans brackets sur une armature formée d’un fil métallique, lui-même fixé à une surface grillagée, ce qui lui confère efficacité et solidité. Le bridge T.O.B.B.I. dispose de rétentions dans la zone édentée où viendront se loger les dents prothétiques, qu’il s’agisse de dents du commerce de prothèse amovible ou de dents en composite ou en résine réalisées en laboratoire.
Ses deux principaux avantages, en plus d’être fixe, sont de ne nécessiter aucune préparation amélaire et de s’adapter à tous les types d’occlusion par son faible encombrement. Ainsi n’est-il aucunement nécessaire de maîtriser les principes de préparations en prothèses collées. Un orthodontiste formé au collage est donc tout à fait apte à mettre en place cette solution, ce qui accroît considérablement son intérêt.
Avec 20 ans de recul sur le recours au bridge T.O.B.B.I. sur tous les types de traitements implantaires, cette option apporte de grandes satisfactions tant esthétiques que fonctionnelles durant cette délicate phase transitoire entre période orthodontique…

Cet article est réservé aux abonnés.
Pour lire la suite :

Vous êtes abonné.e ? Connectez-vous
Mot de passe
oublié ?

Vous pouvez également :

Acheter l'article En version numérique
Acheter le numéro À l'unité

Thèmes abordés