1. Rappels sur la technique d’érosion infiltration
Le diagnostic initial de la lésion amélaire (fluorose, hypominéralisation molaires incisives (MIH), lésion d’origine traumatique) est essentiel à poser car cela aura un impact sur l’attitude thérapeutique.
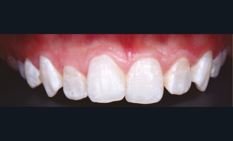
Le procédé d’érosion-infiltration (Icon, DMG) comporte deux étapes. La première consiste à effectuer un traitement d’érosion de surface pour accéder au cœur de la lésion, la seconde à réaliser une infiltration de celle-ci à l’aide d’une résine. Cela permet d’obtenir une transmission homogène de la lumière qui ne sera plus réfractée au niveau des zones hypominéralisées de l’émail.
2. Traitement d’une fluorose généralisée
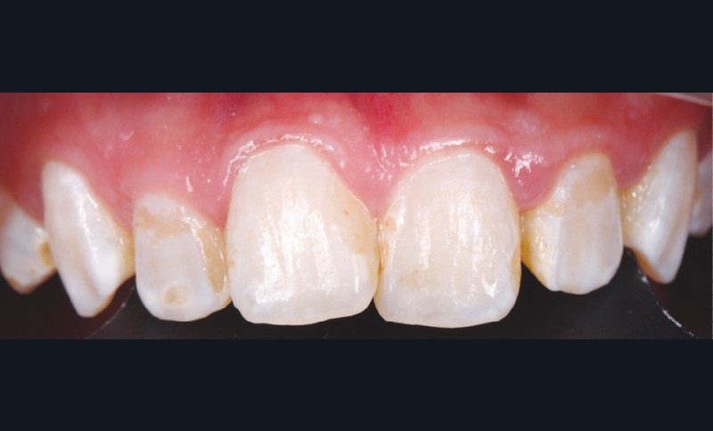
Le cas présenté ici concerne une patiente de 28 ans se présentant en consultation avec un motif principal : améliorer l’esthétique de son sourire. En effet, elle indique être complexée par la couleur de ses dents et les taches qui ne disparaissent pas malgré un brossage efficace (fig. 1).
Elle présente une fluorose généralisée modérée. Les hypominéralisations sont localisées au sein des zones superficielles de l’émail.
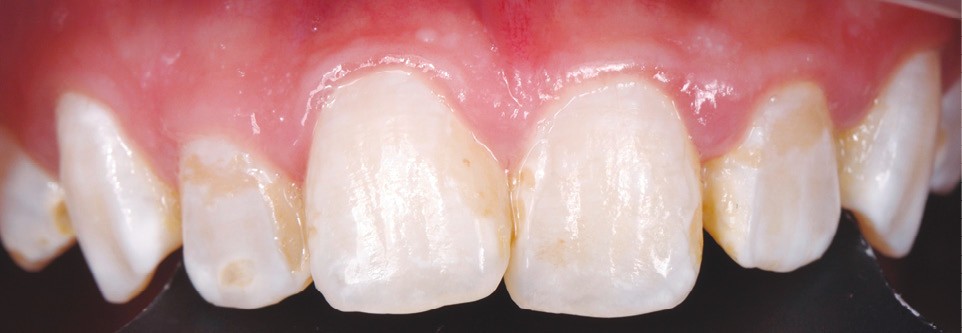
Quand cela est possible, un éclaircissement externe ambulatoire préalable permet de diminuer le contraste entre la tache et la teinte de la dent, et de réduire les colorations brunes qui peuvent être présentes (fig. 2).
Il est important de prévenir le patient que les zones blanches sembleront, dans un premier temps, plus visibles, mais que cela s’atténue spontanément après l’arrêt de l’éclaircissement.
Un délai d’au moins 15 jours est attendu entre l’éclaircissement et la séance de traitement d’érosion/infiltration pour la dissipation de l’oxygène (contenu dans les produits d’éclaircissement) qui inhibe la prise des résines.
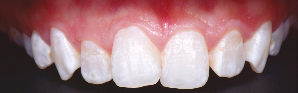
Les traitements d’érosion/infiltration…

