Les relations entre le parodonte et la thérapeutique ODF sont étroites, puisque, schématiquement, l’orthodontie repositionne la dent dans l’enveloppe osseuse, ce qui a des conséquences sur le parodonte. Le risque majeur du traitement orthodontique sur le parodonte est l’affaiblissement du complexe muco-gingival.
Nous aborderons dans cet article, les paramètres parodontaux à identifier avant une thérapeutique orthodontique, nous proposerons une fiche d’échange simplifiée pour faciliter la transmission des informations entre le parodontiste et l’orthodontiste et, enfin, nous détaillerons deux situations cliniques différentes durant l’ODF.
Situations parodontales à identifier pour une thérapeutique optimale
Au cours de l’évolution dentaire, l’axe d’éruption de la dent dans le procès alvéolaire influe sur l’épaisseur des corticales vestibulaires et la position finale du contour gingival (phénotype parodontal).
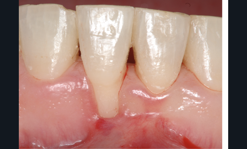
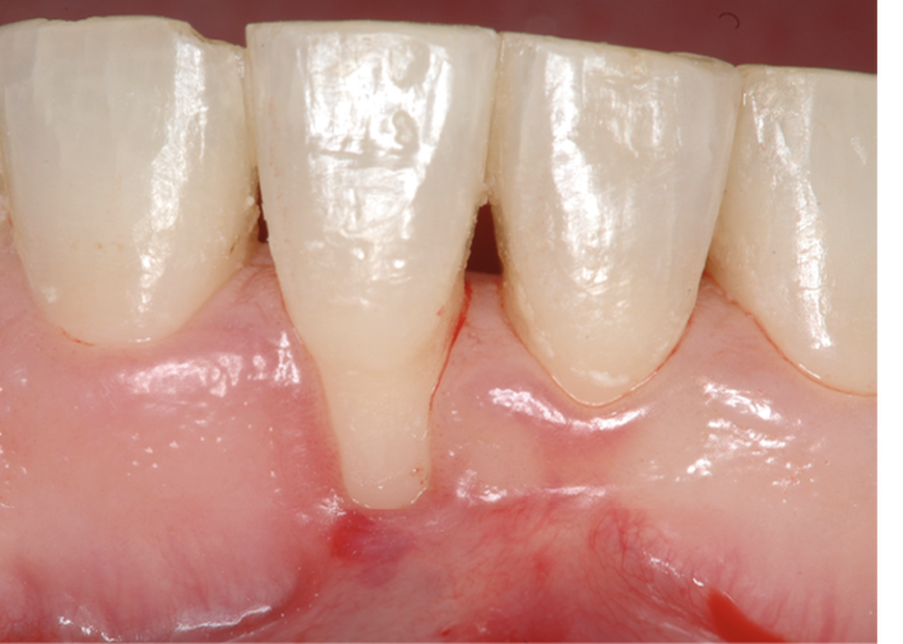
Lorsque le parodonte est sain, le principal facteur à identifier avant un traitement orthodontique est le phénotype parodontal fin [1]. Ce phénotype parodontal comparé à un phénotype épais est significativement associé à une épaisseur osseuse vestibulaire plus fine, à une épaisseur de tissu kératinisé plus faible, et à une distance entre la jonction émail-cément et la crête osseuse plus grande [2]. L’examen clinique du parodonte superficiel se réalise avec une sonde parodontale graduée. Le parodonte sera considéré comme fin si celle-ci est visible par transparence lors de son insertion dans le sulcus (fig. 1). D’un point de vue clinique, il est important de remarquer que sur un même secteur, des différences d’épaisseur et de hauteur des tissus kératinisés peuvent exister selon les dents (fig. 2).
Dans un contexte d’antécédent de maladie parodontale, le principal critère clinique à identifier avant le traitement ODF est la stabilité du parodonte profond.

